[Ortho] Бедро после БИОС осколок "лежит" далеко от отломков

VlaD orthoforum на weborto.net
Чт Июн 13 23:55:05 YEKST 2013


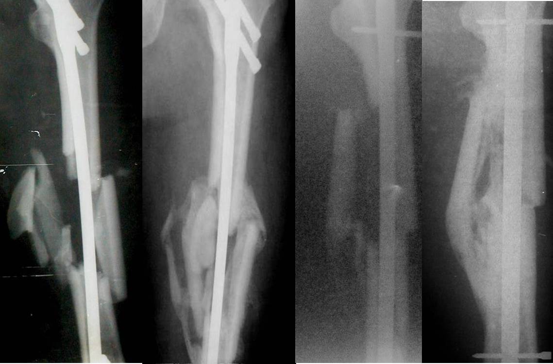
Если выполнено адекватное дистальное и проксимальное блокирование и 
после операции отсутствует неврологическая или сосудистая симптоматика, 
нет никакой необходимости что-либо предпринимать ещё. Должно всё 
срастись без всяких последствий для больного.
Примеры во вложенном файле.
VlaD


----------- следущая часть -----------
Вложение не в текстовом формате было извлечено…
Имя     : nail.jpg
Тип     : image/jpeg
Размер  : 77520 байтов
Описание: отсутствует
Url     : http://weborto.net:8080/pipermail/ortho/attachments/20130613/3b7c41fd/attachment-0001.jpg 


Подробная информация о списке рассылки Ortho