[Ortho] протезирование г/стопного сустава

оксана orthoforum на weborto.net
Пт Июн 14 09:40:21 YEKST 2013


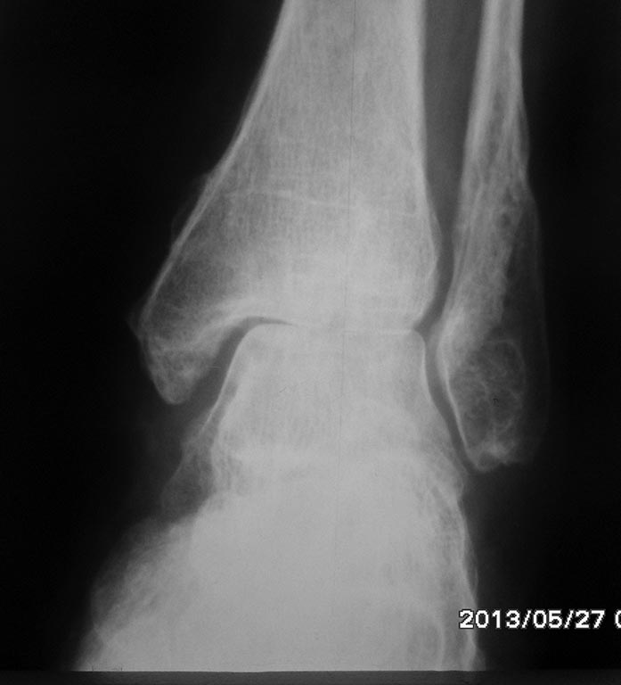
здрвствуйте! вот снимки. наши пациеты протезируются в основном в 
Астрахани и Саратове, редко в Москве.
оксана

----------- следущая часть -----------
Вложение не в текстовом формате было извлечено…
Имя     : SAM_0950.JPG
Тип     : image/jpeg
Размер  : 47954 байтов
Описание: отсутствует
Url     : http://weborto.net:8080/pipermail/ortho/attachments/20130614/40e67922/attachment-0001.jpeg 


Подробная информация о списке рассылки Ortho