[Ortho] застарелый переломовывих в суставе Шопара

maxim agalakov orthoforum на weborto.net
Пн Июн 17 19:25:43 YEKST 2013


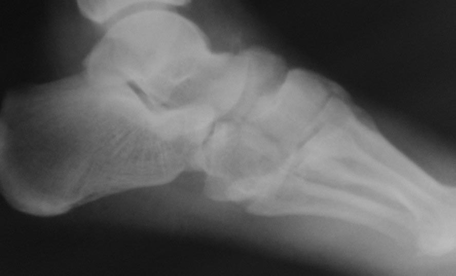
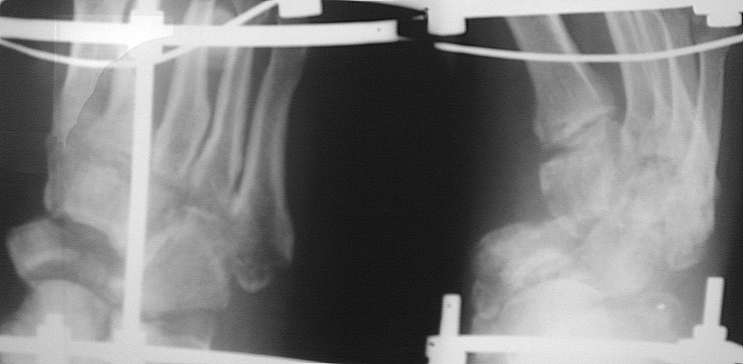
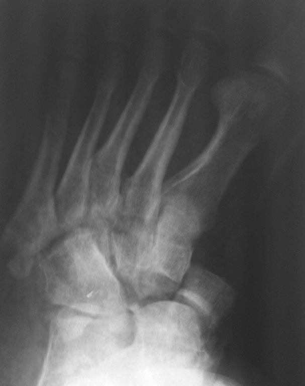
Обратился пациент 40 лет через 2,5 мес после травмы,

не курит, социален. Первым этапом наложили дистрактор, дозированная 
дистракция, вторым этапом планировали репозицию ладьи с bridge plate 
(шейка - клин). После выходных обнаружили такую картинку некрозов, 
доступ планировался именно так. Считаю, что основная проблема в
ладье. Фрагмент ладьи абс неподвижен. Вопросы: стоит рисковать или нет? 
будет ли менее рискованная операция позже по рубцу? Что еще следует 
учесть (возможно недопонимаю анатомию повреждения)? Другие варианты?
maxim agalakov



----------- следущая часть -----------
Вложение не в текстовом формате было извлечено…
Имя     : WP_001401.jpg
Тип     : image/jpeg
Размер  : 33140 байтов
Описание: отсутствует
Url     : http://weborto.net:8080/pipermail/ortho/attachments/20130617/36db4d61/attachment-0049.jpg 
----------- следущая часть -----------
Вложение не в текстовом формате было извлечено…
Имя     : WP_001403.jpg
Тип     : image/jpeg
Размер  : 40115 байтов
Описание: отсутствует
Url     : http://weborto.net:8080/pipermail/ortho/attachments/20130617/36db4d61/attachment-0050.jpg 
----------- следущая часть -----------
Вложение не в текстовом формате было извлечено…
Имя     : WP_001404.jpg
Тип     : image/jpeg
Размер  : 41980 байтов
Описание: отсутствует
Url     : http://weborto.net:8080/pipermail/ortho/attachments/20130617/36db4d61/attachment-0051.jpg 
----------- следущая часть -----------
Вложение не в текстовом формате было извлечено…
Имя     : WP_001408.jpg
Тип     : image/jpeg
Размер  : 110721 байтов
Описание: отсутствует
Url     : http://weborto.net:8080/pipermail/ortho/attachments/20130617/36db4d61/attachment-0052.jpg 
----------- следущая часть -----------
Вложение не в текстовом формате было извлечено…
Имя     : WP_001409 (1).jpg
Тип     : image/jpeg
Размер  : 65855 байтов
Описание: отсутствует
Url     : http://weborto.net:8080/pipermail/ortho/attachments/20130617/36db4d61/attachment-0053.jpg 
----------- следущая часть -----------
Вложение не в текстовом формате было извлечено…
Имя     : WP_001410 (3).jpg
Тип     : image/jpeg
Размер  : 110117 байтов
Описание: отсутствует
Url     : http://weborto.net:8080/pipermail/ortho/attachments/20130617/36db4d61/attachment-0054.jpg 
----------- следущая часть -----------
Вложение не в текстовом формате было извлечено…
Имя     : WP_001412.jpg
Тип     : image/jpeg
Размер  : 59583 байтов
Описание: отсутствует
Url     : http://weborto.net:8080/pipermail/ortho/attachments/20130617/36db4d61/attachment-0055.jpg 


Подробная информация о списке рассылки Ortho