[Ortho] Нагноение штифта при удлинении голени

Алексей orthoforum на weborto.net
Ср Июн 19 23:06:00 YEKST 2013


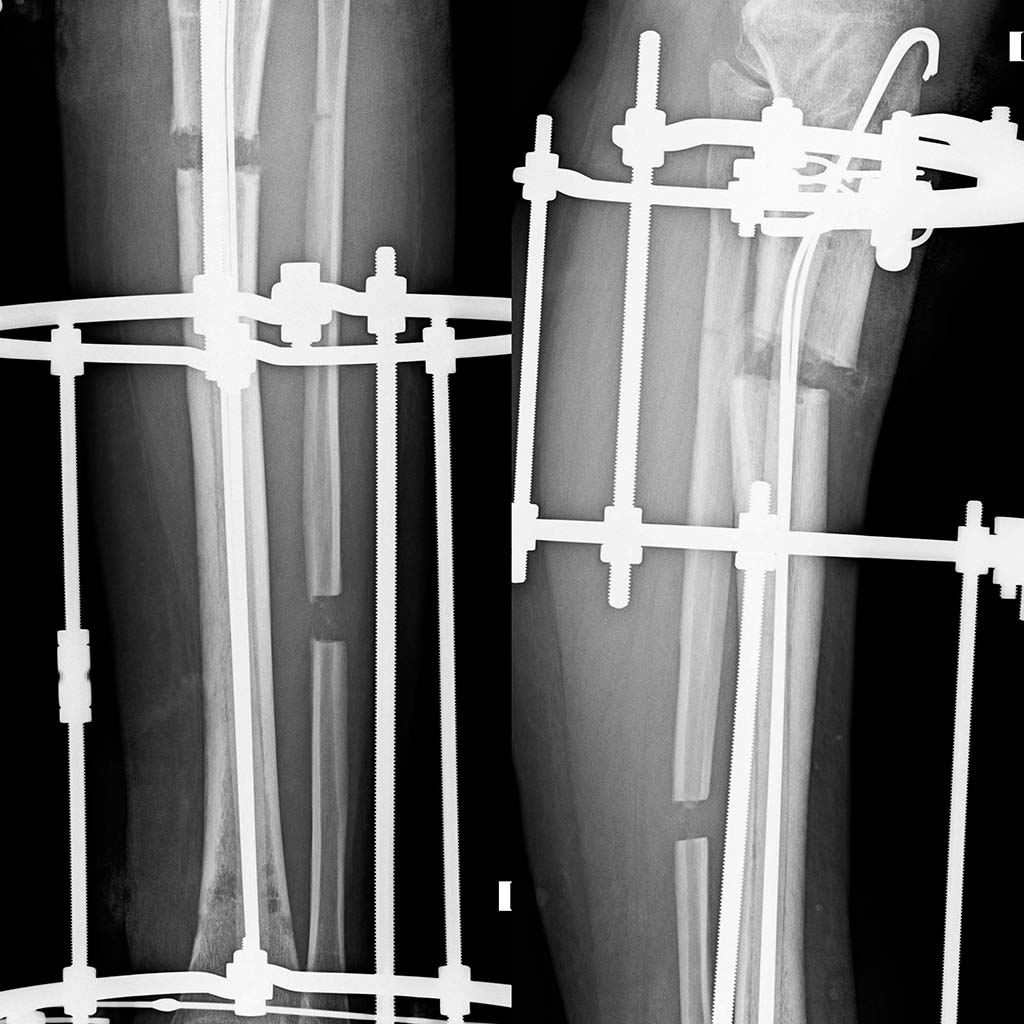
Спасибо всем, кто принял участие в обсуждении. Штифт удален, спейсер 
ванкомицин 2г + амикацин 1,5 г. Через 2-3 недели планируется удалить 
спейсер и наложить спице-стержневой аппарат Илизарова. Рентгенограммы 
прилагаются.
Алексей

----------- следущая часть -----------
Вложение не в текстовом формате было извлечено…
Имя     : 3.jpg
Тип     : image/jpeg
Размер  : 123663 байтов
Описание: отсутствует
Url     : http://weborto.net:8080/pipermail/ortho/attachments/20130619/a34c43aa/attachment-0001.jpg 


Подробная информация о списке рассылки Ortho