[Ortho] Эндопротезирование при хондродисплазии

Виноградский Александр orthoforum на weborto.net
Вс Июн 23 13:26:31 YEKST 2013


Здравствуйте, коллеги!Планируется эндопротезирование суставов у 
пациентки с врожденной
аномалией развития скелета

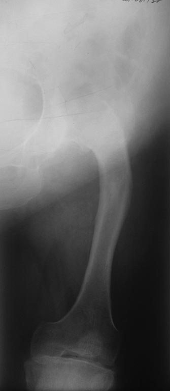
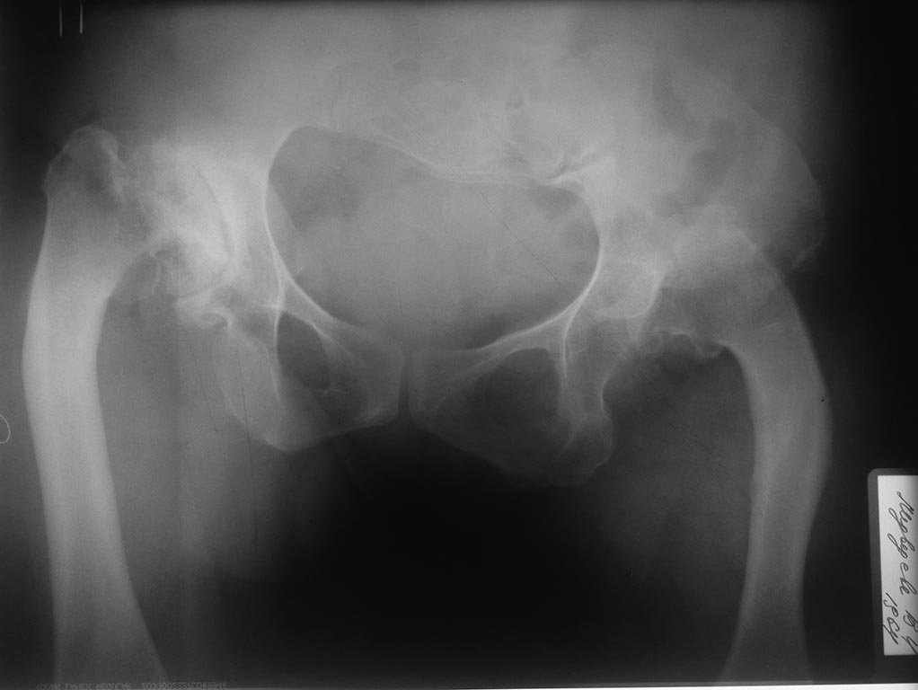
Пациентка 48 лет, врожденная аномалия скелета. В настоящее время 
поступила с диагнозом:Диспластический коксартроз III ст справа, вывих 
левого бедра (Crowe IV)/Гонартроз слева III. Варусные деформации обоих 
бедер. Сгибательная, приводящая, ротационная контрактура правого 
тазобедренного сустава. Сгибательная контрактура левого коленного 
сустава. Из анамнеза: Больна с детства, в возрасте 15-17 лет 
субспинальные миотомии с обеих сторон, отсечение большого вертела слева 
дополненное скелетным вытяжением. Планируется: Первым этапом 
эндпротезирование правого тазобедренного сустава с одномоментной 
коррекцией варусной деформации. Вторым этапом
эндопротезирование слева с укорачивающая и корригирующей остеотомией. 
Третий - левый коленный сустав. У кого есть опыт протезирования подобных 
пациентов, прокоментируйте пожалуйста. Может, что недооцениваем.
Виноградский Александр
Екатеринбург, ГВВ


----------- следущая часть -----------
Вложение не в текстовом формате было извлечено…
Имя     : IMG_1172.jpg
Тип     : image/jpeg
Размер  : 51208 байтов
Описание: отсутствует
Url     : http://weborto.net:8080/pipermail/ortho/attachments/20130623/f073965e/attachment-0004.jpg 
----------- следущая часть -----------
Вложение не в текстовом формате было извлечено…
Имя     : IMG_1179.jpg
Тип     : image/jpeg
Размер  : 28616 байтов
Описание: отсутствует
Url     : http://weborto.net:8080/pipermail/ortho/attachments/20130623/f073965e/attachment-0005.jpg 
----------- следущая часть -----------
Вложение не в текстовом формате было извлечено…
Имя     : IMG_1181.jpg
Тип     : image/jpeg
Размер  : 21561 байтов
Описание: отсутствует
Url     : http://weborto.net:8080/pipermail/ortho/attachments/20130623/f073965e/attachment-0006.jpg 
----------- следущая часть -----------
Вложение не в текстовом формате было извлечено…
Имя     : IMG_1184.jpg
Тип     : image/jpeg
Размер  : 60825 байтов
Описание: отсутствует
Url     : http://weborto.net:8080/pipermail/ortho/attachments/20130623/f073965e/attachment-0007.jpg 


Подробная информация о списке рассылки Ortho