[Ortho] Открытый перелом предплечья

Александр Стаханов orthoforum на weborto.net
Сб Мар 2 10:25:16 YEKT 2013


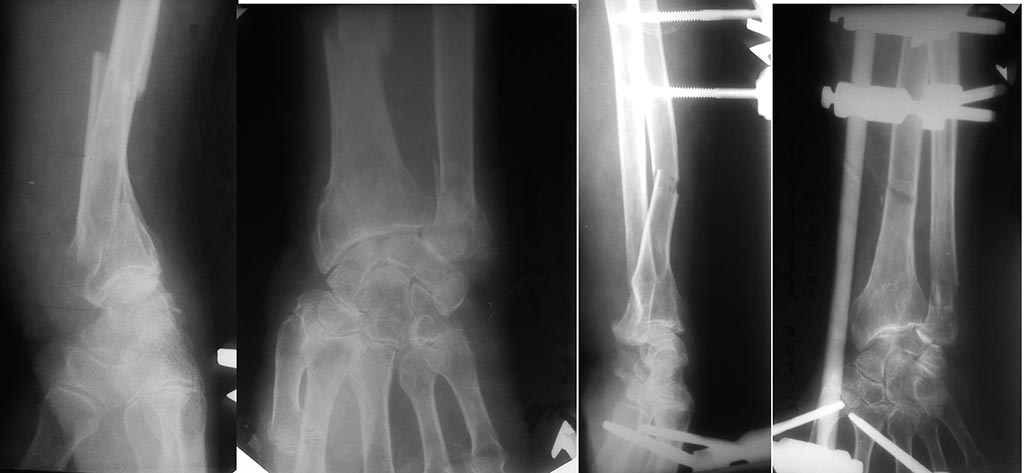
Уважаемые коллеги. Пациентка 82 лет, "сохранного вида" получила 
вторичнооткрытый перелом костей левого предплечья. Рана по передней 
поверхности, в области головки локтевой кости.
Около 20-ти лет назад был перелом лучевой кости в типичном месте, 
который сросся с тыльным смещением.В ургентном порядке наложен АВФ. Рана 
заживает первичным натяжением. Визуально предплечье ровное. Можно ли 
оставить так как есть?
Александр Стаханов



----------- следущая часть -----------
Вложение не в текстовом формате было извлечено…
Имя     : 1.jpg
Тип     : image/jpeg
Размер  : 61214 байтов
Описание: отсутствует
Url     : http://weborto.net:8080/pipermail/ortho/attachments/20130302/06e63d52/attachment-0001.jpg 


Подробная информация о списке рассылки Ortho