[Ortho] Открытый перелом предплечья

Nikita Zadneprovskiy zacuta2011 на gmail.com
Сб Мар 2 15:19:40 YEKT 2013


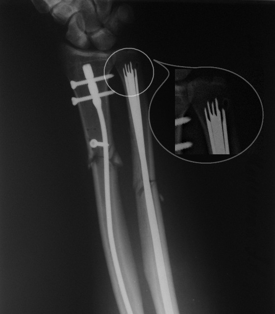
Мы бы выполнили интрамедуллярную фиксацию. Расчет на малоинвазивность при
наличии раны. Даже учитывая деформацию, введение гибкого стержня в radius
через Lister tub. не составит технических сложностей. Правда, наружный
аппарат мы бы наложили из деталей аппарата Илизарова как на рис. 1.

Фиксацию ulna пучком спиц через локтевой отросток. Идея - зафиксировать
малый фрагмент множеством спиц, тем самым исключив подвижность. Канал
видимо широкий, можно провести 4-5-6 спиц. "Ёжик", думаю удержит даже
порозный отломок.

Репонирующий аппаратик снять, движения и обычные нагрузки на следующий
день. Ну и ранку лечить, понятное дело. Можно амбулаторно, можно в
отделении.


2 марта 2013 г., 8:25 пользователь Александр Стаханов <
orthoforum на weborto.net> написал:

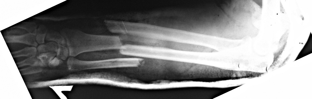
> Уважаемые коллеги. Пациентка 82 лет, "сохранного вида" получила
> вторичнооткрытый перелом костей левого предплечья. Рана по передней
> поверхности, в области головки локтевой кости.
> Около 20-ти лет назад был перелом лучевой кости в типичном месте, который
> сросся с тыльным смещением.В ургентном порядке наложен АВФ. Рана заживает
> первичным натяжением. Визуально предплечье ровное. Можно ли оставить так
> как есть?
> Александр Стаханов
>
>
>
>
> _______________________________________________
> Ortho mailing list
> Ortho на weborto.net
> http://weborto.net:8080/mailman/listinfo/ortho
>
>


-- 
Никита Николаевич Заднепровский
НИИ Скорой Помощи им.Н.В.Склифосовского
Отделение сочетанной и множественной травмы
129010 Москва, Большая Сухаревская пл. д.3
Тел: +7 926 483 56 16

Nikita Zadneprovskiy
Sklifosovsky Clinical and Research Institute for Emergency Care
Polytrauma Department
3, Bolshaya Sukharevskay sq.
Moscow, 129010 Russia
tel: +7 926 483 56 16
----------- следущая часть -----------
Вложение в формате HTML было извлечено&hellip;
URL: http://weborto.net:8080/pipermail/ortho/attachments/20130302/71775e34/attachment-0001.html 
----------- следущая часть -----------
Вложение не в текстовом формате было извлечено&hellip;
Имя     : рис. 1.jpg
Тип     : image/jpeg
Размер  : 154574 байтов
Описание: отсутствует
Url     : http://weborto.net:8080/pipermail/ortho/attachments/20130302/71775e34/attachment-0005.jpg 
----------- следущая часть -----------
Вложение не в текстовом формате было извлечено&hellip;
Имя     : рис. 2.jpg
Тип     : image/jpeg
Размер  : 70269 байтов
Описание: отсутствует
Url     : http://weborto.net:8080/pipermail/ortho/attachments/20130302/71775e34/attachment-0006.jpg 
----------- следущая часть -----------
Вложение не в текстовом формате было извлечено&hellip;
Имя     : рис. 3.jpg
Тип     : image/jpeg
Размер  : 73471 байтов
Описание: отсутствует
Url     : http://weborto.net:8080/pipermail/ortho/attachments/20130302/71775e34/attachment-0007.jpg 
----------- следущая часть -----------
Вложение не в текстовом формате было извлечено&hellip;
Имя     : рис. 4.jpg
Тип     : image/jpeg
Размер  : 61311 байтов
Описание: отсутствует
Url     : http://weborto.net:8080/pipermail/ortho/attachments/20130302/71775e34/attachment-0008.jpg 
----------- следущая часть -----------
Вложение не в текстовом формате было извлечено&hellip;
Имя     : рис. 5.jpg
Тип     : image/jpeg
Размер  : 59831 байтов
Описание: отсутствует
Url     : http://weborto.net:8080/pipermail/ortho/attachments/20130302/71775e34/attachment-0009.jpg 


Подробная информация о списке рассылки Ortho