[Ortho] НЕСОСТОЯТЕЛЬНЫЙ ОСТЕОСИНТЕЗ ТАЗА

Юрий Булахтин orthoforum на weborto.net
Ср Мар 6 09:26:29 YEKT 2013


Здравствуйте, уважаемые коллеги. Пациент - мужчина, 1980г.р. 
Диагноз:Тяжелая сочетанная
травма. Открытые переломы правой бедренной кости в нижней трети, обеих 
костей правой голени
в верхней трети. Разрывы симфиза лонного, левого крестцово-подвздошного 
сочленений. Ушиб
головного мозга средней степени тяжести. Закрытые переломы второго 
третьего ребер слева.
Ушиб левого легкого. Закрытая травма живота повреждение селезенки, 
брыжейки тонкого
кишечника.

Травма получена в результате ДТП - 15.12.2013г. Машиной СМП с места 
аварии доставлен в ЦРБ, в
тяжелом состянии, помещен в РАО. Выполнены ПХО ран, скелетное вытяжение. 
17.12.2012г.
выполнена операция: лапаротомия, удаление селезенки, ушивание разрывов 
брыжейки тонкой
кишки, дренирование брюшной полости. 25.12.переведен к нам. 17.01.2013г. 
- выполнен БИОС
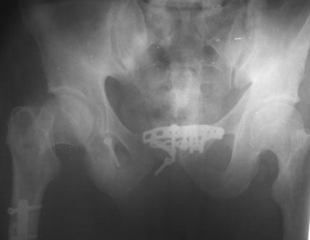
правого бедра. 13.02.2013г. - выполнены металлостеосинтез перелома правой
большеберцовой кости пластиной, лонного симфиза двумя пластинами. Пациент
вертикализирован, ходил с помощью костылей, без нагрузки на правую 
нижнюю конечность.
05.03.2013г. пожаловался на "щелчок в области симфиза. На снимках - 
несостоятельность
фиксации, миграция винтов. Сталкивался ли кто с подобной ситуацией? 
Советы по дальнейшей
тактике лечения? Снимки: 1. При поступлении. 2. Послеоперационный. 3. от 
05.03.2013г.
Юрий Булахтин
Камчатский Военно-Морской госпиталь

----------- следущая часть -----------
Вложение не в текстовом формате было извлечено…
Имя     : 1.jpg
Тип     : image/jpeg
Размер  : 25688 байтов
Описание: отсутствует
Url     : http://weborto.net:8080/pipermail/ortho/attachments/20130306/d918acc1/attachment-0006.jpg 
----------- следущая часть -----------
Вложение не в текстовом формате было извлечено…
Имя     : 05.03jpg.jpg
Тип     : image/jpeg
Размер  : 26870 байтов
Описание: отсутствует
Url     : http://weborto.net:8080/pipermail/ortho/attachments/20130306/d918acc1/attachment-0007.jpg 
----------- следущая часть -----------
Вложение не в текстовом формате было извлечено…
Имя     : IMG_3038[1].JPG
Тип     : image/jpeg
Размер  : 50356 байтов
Описание: отсутствует
Url     : http://weborto.net:8080/pipermail/ortho/attachments/20130306/d918acc1/attachment-0003.jpeg 


Подробная информация о списке рассылки Ortho