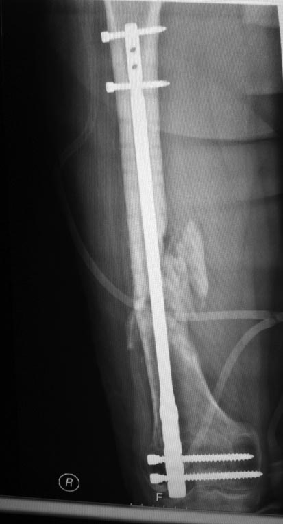
[Ortho] ЛОЖНЫЙ СУСТАВ ПОСЛЕ БИОС

Соболев Игорь orthoforum на weborto.net
Чт Мар 7 08:34:26 YEKT 2013


еще снимки
Соболев Игорь



----------- следущая часть -----------
Вложение не в текстовом формате было извлечено…
Имя     : IMG_1542.jpg
Тип     : image/jpeg
Размер  : 41677 байтов
Описание: отсутствует
Url     : http://weborto.net:8080/pipermail/ortho/attachments/20130307/6ada6178/attachment-0005.jpg 


Подробная информация о списке рассылки Ortho