[Ortho] Перелом головки малоберцовой кости.

Алексей orthoforum на weborto.net
Пн Мар 11 14:47:17 YEKT 2013


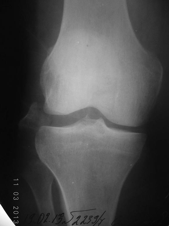
Мужчина 1961 г. р., травма дорожная. Перелом головки малоберцовой кости 
со смещением отломков. Помогите определится в тактике оперативного 
лечения и его объёме. Заранее спасибо.
Алексей


----------- следущая часть -----------
Вложение не в текстовом формате было извлечено…
Имя     : DSC00478.JPG
Тип     : image/jpeg
Размер  : 37143 байтов
Описание: отсутствует
Url     : http://weborto.net:8080/pipermail/ortho/attachments/20130311/f8c7bac8/attachment-0001.jpe 


Подробная информация о списке рассылки Ortho