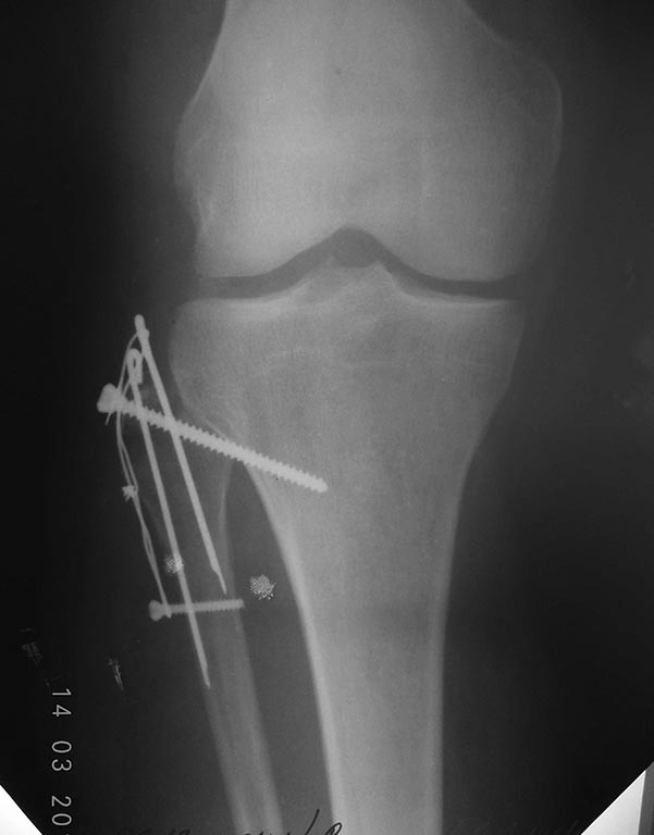
[Ortho] Перелом головки малоберцовой кости.

Алексей orthoforum на weborto.net
Чт Мар 14 16:38:52 YEKT 2013


Вот результат. Явления неврит всё таки имеются.
Алексей

----------- следущая часть -----------
Вложение не в текстовом формате было извлечено…
Имя     : DSC00481.JPG
Тип     : image/jpeg
Размер  : 45702 байтов
Описание: отсутствует
Url     : http://weborto.net:8080/pipermail/ortho/attachments/20130314/9a33f371/attachment-0001.jpeg 


Подробная информация о списке рассылки Ortho