[Ortho] НЕСОСТОЯТЕЛЬНЫЙ ОСТЕОСИНТЕЗ ТАЗА

Юрий Алексеевич Булахтин orthoforum на weborto.net
Пт Мар 15 16:04:42 YEKT 2013


           Уважаемые коллеги!


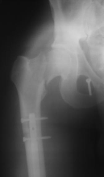
    Представляю материалы по больному на сегодня. Сделали 13.03.2013г. 
снимки.
Юрий Алексеевич Булахтин

----------- следущая часть -----------
Вложение не в текстовом формате было извлечено…
Имя     : Шеи?ка - прямои? 13.03.2013.JPG
Тип     : image/jpeg
Размер  : 27964 байтов
Описание: отсутствует
Url     : http://weborto.net:8080/pipermail/ortho/attachments/20130315/218caa80/attachment-0001.jpeg 


Подробная информация о списке рассылки Ortho