[Ortho]

orthoforum weborto.net
12 10:17:01 YEKT 2013


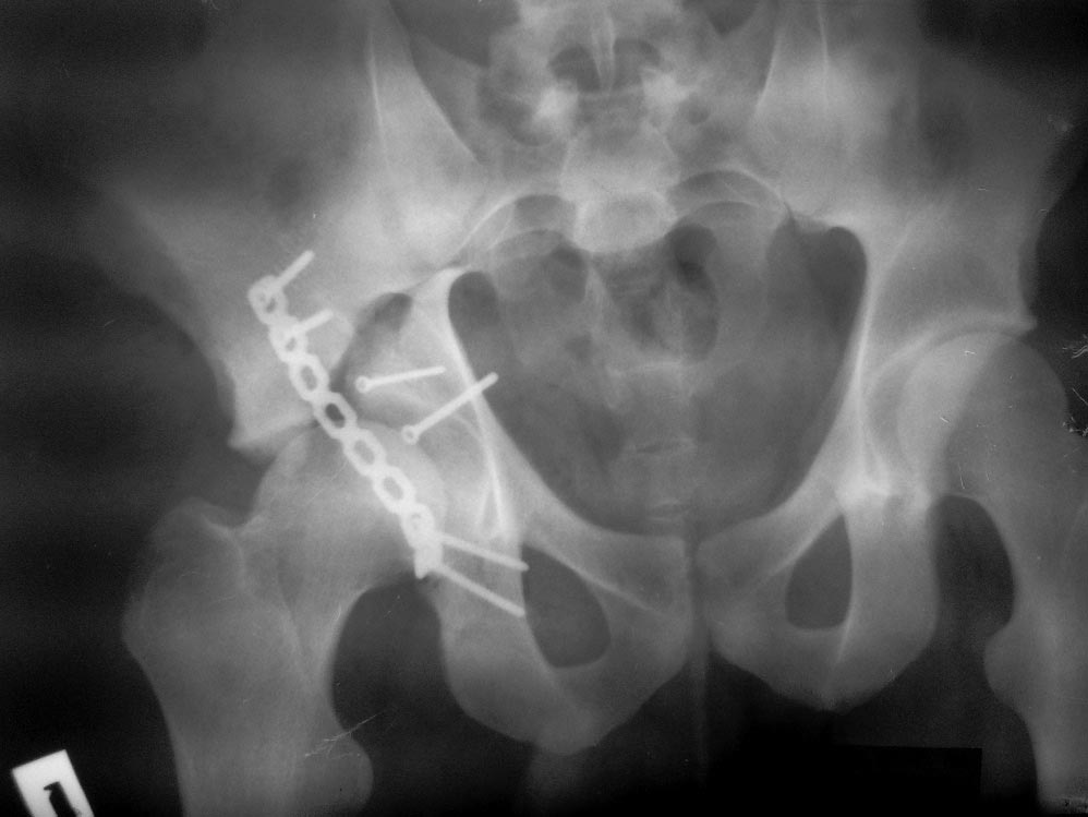
Уважаемые коллеги! Пациент 19 лет, ДТП в сентябре 2012 г, оперирован 
поэтапно в др. клинике. В сентябре пациенту первым этапом была проведена 
операция МОС лодыжек правой голени, МОС правой бедренной кости. Через 2 
недели была проведена операция МОС костей таза и открытое
устранение вывиха правого бедра. Повторная операция реостеосинтез костей 
таза была проведена через 1 месяц после первичной. Дз: задний вывих 
правого бедра (сроки -3 месяца).
Асептический некроз головки правой бедренной кости. Неконсолидирующийся 
перелом средней трети правой бедренной кости, неправильно 
консолидирующийся перелом лодыжек правой голени с подвывихом стопы 
кзади, передняя медиальная нестабильность правого К/С.
Сгибательно-приводящая контрактура правого Т/Б сустава, 
сгибательно-разгибательная контрактура правого К/С, эквинусная установка 
в правой стопе на фоне пост-операционного пареза Жду Ваших рекомендаций 
по плану лечения.
С уважением, Доктор Алок Бансал.
Киев, ГКБ№  9


-----------   -----------
Вложение не в текстовом формате было извлечено…
Имя     : 2013-03-05 19.36.01.jpg
Тип     : image/jpeg
Размер  : 97992 байтов
Описание: отсутствует
Url     : http://weborto.net:8080/pipermail/ortho/attachments/20130312/259828cb/attachment-0003.jpg 
-----------   -----------
Вложение не в текстовом формате было извлечено…
Имя     : 2013-03-05 19.36.31.jpg
Тип     : image/jpeg
Размер  : 74113 байтов
Описание: отсутствует
Url     : http://weborto.net:8080/pipermail/ortho/attachments/20130312/259828cb/attachment-0004.jpg 
-----------   -----------
Вложение не в текстовом формате было извлечено…
Имя     : 2013-03-05 19.37.46.jpg
Тип     : image/jpeg
Размер  : 80821 байтов
Описание: отсутствует
Url     : http://weborto.net:8080/pipermail/ortho/attachments/20130312/259828cb/attachment-0005.jpg 


Ortho