[Ortho] Замещение костного дефекта

Vasili orthoforum на weborto.net
Сб Мар 23 17:31:15 YEKT 2013


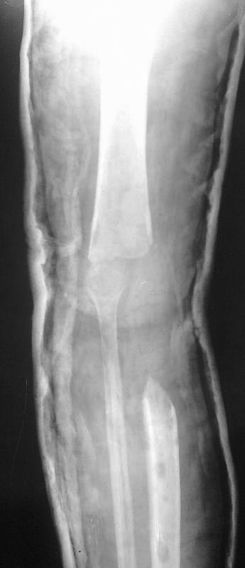
Пациентка 1972 года рождения. В сентябре 2012 года выполнена резекция 
дистального отдела бедра и проксимального отдела большеберцовой кости.

В январе 2012 года оскольчатый внутрисуставной перелом проксимального 
отдела большеберцовой кости. был выполнен накостный синтез пластиной. 
Сопутствующая патология ВИЧ. Послеоперационный период осложнился 
нагноением раны и последующим остеомиелитом большеберцовой кости.Больная 
неоднократно оперировалась: удаление пластины,фиксация в аппарате, 
остеонекрэктомии. Из-за недостатка опыта не выполнили в свое время 
мышечную пластику с закрытием раны, в результате инфекция 
прогрессировала, распространилась на коленный сустав. В сентябре 2012 
выполнена остеонекрэктомия (резекция мыщелков бедра, проксимальной 3 
большеберцовой кости), рану закрыли, конечность фиксировали простым АВФ 
и лангетой. На данный момент имеет место укорочение конечности до 10 см, 
отека,гиперемии,ран,свищей нет, чувствительность и движения в стопе 
сохранены, пульс на артериях стопы хороший. Имеет место анемия (87), 
аппарат снят, конечность фиксирована лангетой, больна уверенно 
передвигается на костылях. Планируется восстановить опорную конечность 
используя  проксимальный отдел малоберцовой кости для замещения дефекта 
закрыто в АВФ (что-то вроде операции Гана), возможно с удлинением 
конечности.
Хотелось бы узнать Ваше мнение о тактике лечения данной пациентки.
Vasili

----------- следущая часть -----------
Вложение не в текстовом формате было извлечено…
Имя     : 2013-03-17-165_1_2_1 (1).jpg
Тип     : image/jpeg
Размер  : 32873 байтов
Описание: отсутствует
Url     : http://weborto.net:8080/pipermail/ortho/attachments/20130323/3e1d0796/attachment-0001.jpg 


Подробная информация о списке рассылки Ortho