[Ortho] Замещение костного дефекта

Leonid Solomin solomin.leonid на gmail.com
Сб Мар 23 20:46:09 YEKT 2013


Уважаемый Vasili,
Можно было бы обсуждать различные варианты реконструкций, если бы не
ВИЧ. Поэтому в подобном случаем мы бы "пошли" на артродез с
использованием блокируемого гвоздя с антибактериальным покрытием. Если
при остром укорочении ушить рану ввиду гофрирования мягких тканей не
удастся, наложите аппарат поверх гвоздя (только проксимальное
блокирование!), после заживления раны дозированно устраните диастаз и
заблокируйте гвоздь дистально.

Успехов,
Л.Соломин

23 марта 2013 г., 16:31 пользователь Vasili <orthoforum на weborto.net> написал:
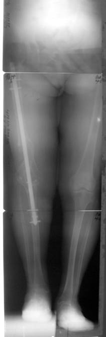
> Пациентка 1972 года рождения. В сентябре 2012 года выполнена резекция
> дистального отдела бедра и проксимального отдела большеберцовой кости.
>
> В январе 2012 года оскольчатый внутрисуставной перелом проксимального отдела
> большеберцовой кости. был выполнен накостный синтез пластиной. Сопутствующая
> патология ВИЧ. Послеоперационный период осложнился нагноением раны и
> последующим остеомиелитом большеберцовой кости.Больная неоднократно
> оперировалась: удаление пластины,фиксация в аппарате, остеонекрэктомии.
> Из-за недостатка опыта не выполнили в свое время мышечную пластику с
> закрытием раны, в результате инфекция прогрессировала, распространилась на
> коленный сустав. В сентябре 2012 выполнена остеонекрэктомия (резекция
> мыщелков бедра, проксимальной 3 большеберцовой кости), рану закрыли,
> конечность фиксировали простым АВФ и лангетой. На данный момент имеет место
> укорочение конечности до 10 см, отека,гиперемии,ран,свищей нет,
> чувствительность и движения в стопе сохранены, пульс на артериях стопы
> хороший. Имеет место анемия (87), аппарат снят, конечность фиксирована
> лангетой, больна уверенно передвигается на костылях. Планируется
> восстановить опорную конечность используя  проксимальный отдел малоберцовой
> кости для замещения дефекта закрыто в АВФ (что-то вроде операции Гана),
> возможно с удлинением конечности.
> Хотелось бы узнать Ваше мнение о тактике лечения данной пациентки.
> Vasili
>
>
> _______________________________________________
> Ortho mailing list
> Ortho на weborto.net
> http://weborto.net:8080/mailman/listinfo/ortho
>



-- 
http://rniito.org/solomin
----------- следущая часть -----------
Вложение не в текстовом формате было извлечено&hellip;
Имя     : Артродез.jpg
Тип     : image/jpeg
Размер  : 11445 байтов
Описание: отсутствует
Url     : http://weborto.net:8080/pipermail/ortho/attachments/20130323/d2ff0a93/attachment.jpg 


Подробная информация о списке рассылки Ortho