[Ortho] эпикондилит?

Maxim Agalakov orthoforum на weborto.net
Вс Мар 31 10:03:56 YEKST 2013


коллеги, помогите опредилиться с диагнозом

На заочную консультацию обратилась девушка, текст переписки и снимки 
прилагаю: "Мне 27 лет. 15 марта заболела рука (левая; и я НЕ левша) в 
области локтевого сустава; не падала, тяжести не таскала, может недели 
за две до этого немного стукнулась локтем, но я полагаю, что если бы это
было причиной, то боль появилась бы сразу, а не через 2 недели. Для 
общей картины еще-в 1995 году был перелом локтевой кости(трещина) и 
лучевой (закрытый со смещением) в области
лучезапястного сустава). Симптомы: боль в локтевом суставе при 
сгибании\разгибании. Больно,но терпеть можно. 16 марта: рука ограниченно 
движется-процентов на 40 из всего во
возможного, боль усилилась, Сделали рентген( в больнице "X")-поставили 
диагноз- латеральный эпикондилит. С 17 марта боль стала адской, рука 
отекла, шевелить невозможно даже пальцами, Все предплечье сковала 
сильнейшая непроходящая судорога(спазм). Рука онемевает, В пальцах 
чувствительность снижена. Боль вызывал даже воздух,попадающий на
руку. Делала инъекции внутримышечно -мовалис(по 1 ампуле\3 дня), и 
дексалгин(по 3 ампулы в день\по настоящее время)-получается в день 4 
инъекции. Мази прописанные я не использовала, т.к. к руке прикосаться 
невозможно. Боль остается и по сей момент, хотя уже могу шевелить
пальцами, и дексалгин ставлю 2 раза в сутки. К постоянной судороге 
добавилось еще периодическое подергивание током (не знаю как описать 
правильно это, но так же, когда локтем стукаешься и током фигачит ). Ах 
да..сегодня гипс наложили ("на всякий случай"(с) )
Температура нормальная (за исключением нескольких дней,  когда без 
обезболивающего еще была - навыла себе температуру до 37.5 ), анализ 
крови не делали. Ревматолог сказала, что это не по ее профилю. Поэтому 
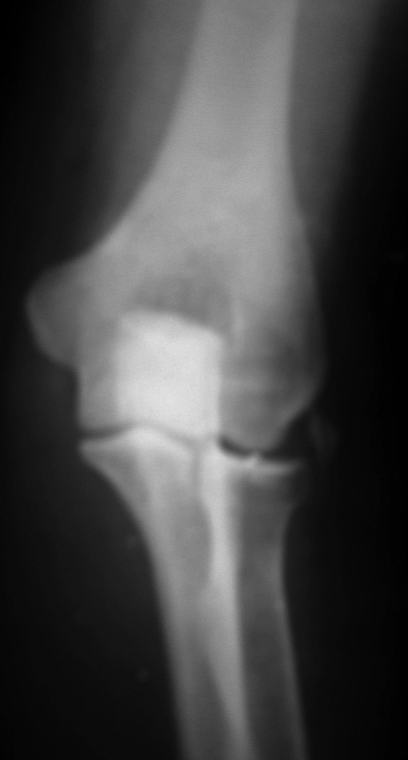
бегаю от хирурга к травматологу и обратно." Для какой болячки может быть 
характерна такая клиника и картинка? Для латерального эпикондилита такая 
"отшнуровка" нехарактерна. В каком направлении размышлять, какое 
дообследование
назначить?
Maxim Agalakov


----------- следущая часть -----------
Вложение не в текстовом формате было извлечено…
Имя     : 2013-03-26-0061.jpg
Тип     : image/jpeg
Размер  : 189378 байтов
Описание: отсутствует
Url     : http://weborto.net:8080/pipermail/ortho/attachments/20130331/1b0a0734/attachment-0003.jpg 
----------- следущая часть -----------
Вложение не в текстовом формате было извлечено…
Имя     : 2013-03-26-0062(2).jpg
Тип     : image/jpeg
Размер  : 93618 байтов
Описание: отсутствует
Url     : http://weborto.net:8080/pipermail/ortho/attachments/20130331/1b0a0734/attachment-0004.jpg 
----------- следущая часть -----------
Вложение не в текстовом формате было извлечено…
Имя     : 2013-03-26-0063(2).jpg
Тип     : image/jpeg
Размер  : 121632 байтов
Описание: отсутствует
Url     : http://weborto.net:8080/pipermail/ortho/attachments/20130331/1b0a0734/attachment-0005.jpg 


Подробная информация о списке рассылки Ortho