[Ortho] Несращение после БИОС бедра

Миронов Андрей orthoforum на weborto.net
Чт Май 2 15:40:22 YEKST 2013


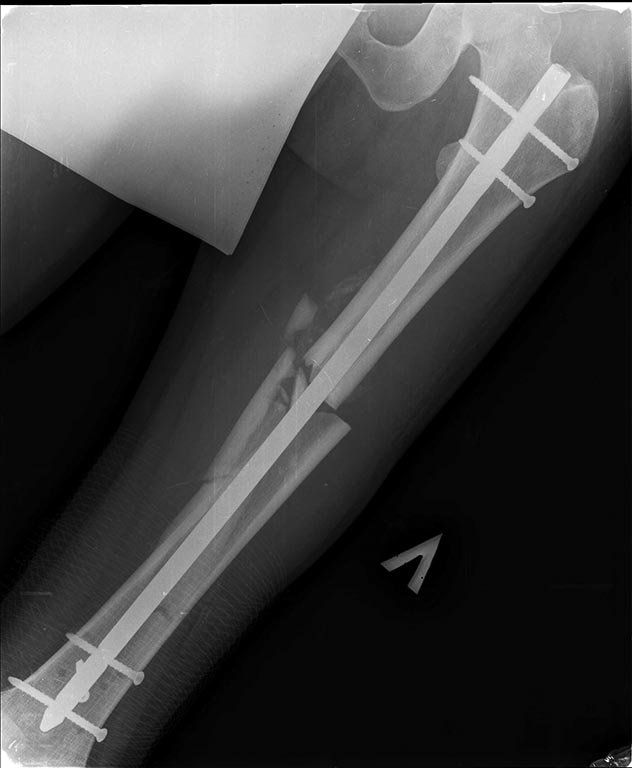
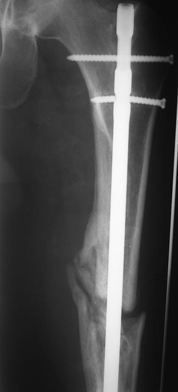
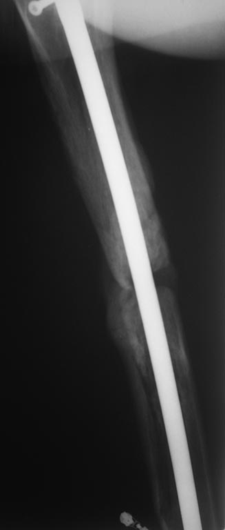
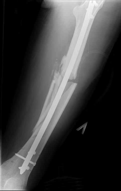
Добрый день уважаемые коллеги. Вашему вниманию представляю 
пациента(мужчина, 30 лет).
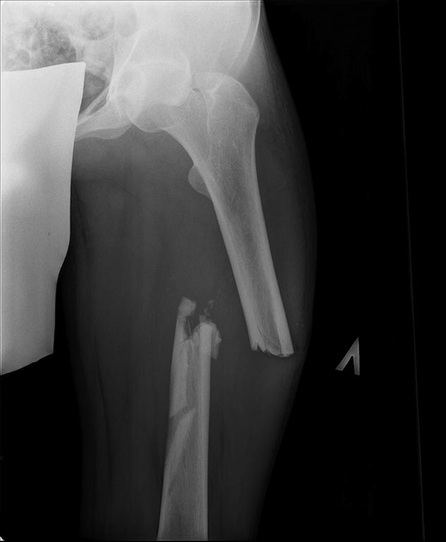
Тяжелая сочетанная травма 7 мес. назад. Из скелетной травмы: открытый 
перелом бедра, открытый перелом дистального метаэпифиза левого плеча, 
закрытый перелом шейки левого плеча). Все повреждения были 
прооперированы.Бедро синтезировано штифтом Остеомед d-11мм.
Раны зажили первично. Пациент после выписки впервые появился на 
контрольный осмотр ч/з 7 месяцев. Жалобы на боли в левом бедре при 
нагрузке, ощущение подвижности в месте перелома.
Передвигается без дополнительных средств опоры. Локально: отека левого 
бедра нет, п/операционные рубцы без признаков воспаления. движения в 
суставах левой н/конечности в полном объеме, безболезненны.( все снимки, 
первичные, после операции и на сегодня
прилагаю). основной вопрос, тактический, чем лучше выполнить 
реостеостеосинтез. У нас в наличии имеется: из штифтов Остеомед d-12мм, 
старый набор Синтез с канюлированными штифтами максимальный d-14мм., 
пластины LC-DCP, аппарат Илизарова.

В плане 2 варианта: 1) удаление проксимальных блокирующих 
винтов(сломаный тоже), фиксация бедра спице-стержневым аппаратом из 2-х 
опор и компрессия в аппарате.

2)удаление металлоконструкции, и выполнение реостеосинтеза с 
рассверливанием( учитывая очень широкий канал) с установкой винтов 
поллеров в дистальном отломке. Жду ваших предложений и мнений. Спасибо 
заранее
Миронов Андрей

----------- следущая часть -----------
Вложение не в текстовом формате было извлечено…
Имя     : 111.jpg
Тип     : image/jpeg
Размер  : 29914 байтов
Описание: отсутствует
Url     : http://weborto.net:8080/pipermail/ortho/attachments/20130502/8282a615/attachment-0004.jpg 
----------- следущая часть -----------
Вложение не в текстовом формате было извлечено…
Имя     : Im00000.jpg
Тип     : image/jpeg
Размер  : 36385 байтов
Описание: отсутствует
Url     : http://weborto.net:8080/pipermail/ortho/attachments/20130502/8282a615/attachment-0005.jpg 
----------- следущая часть -----------
Вложение не в текстовом формате было извлечено…
Имя     : Im00001.jpg
Тип     : image/jpeg
Размер  : 38122 байтов
Описание: отсутствует
Url     : http://weborto.net:8080/pipermail/ortho/attachments/20130502/8282a615/attachment-0006.jpg 
----------- следущая часть -----------
Вложение не в текстовом формате было извлечено…
Имя     : Im00002.jpg
Тип     : image/jpeg
Размер  : 55724 байтов
Описание: отсутствует
Url     : http://weborto.net:8080/pipermail/ortho/attachments/20130502/8282a615/attachment-0007.jpg 
----------- следущая часть -----------
Вложение не в текстовом формате было извлечено…
Имя     : P1010176.JPG
Тип     : image/jpeg
Размер  : 30012 байтов
Описание: отсутствует
Url     : http://weborto.net:8080/pipermail/ortho/attachments/20130502/8282a615/attachment-0002.jpeg 
----------- следущая часть -----------
Вложение не в текстовом формате было извлечено…
Имя     : P1010177.JPG
Тип     : image/jpeg
Размер  : 49281 байтов
Описание: отсутствует
Url     : http://weborto.net:8080/pipermail/ortho/attachments/20130502/8282a615/attachment-0003.jpeg 


Подробная информация о списке рассылки Ortho