[Ortho] Перелом проксимального отдела плеча

Alexander Chelnokov orthoforum на weborto.net
Сб Май 11 11:54:25 YEKST 2013


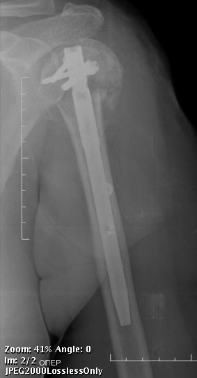
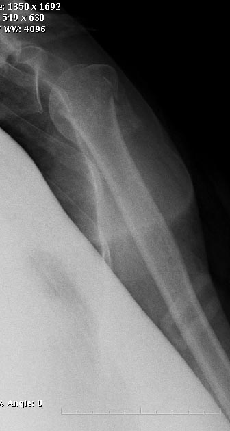
> Гвоздь можно оставить убежденным нейлерам. Мы бы применили

Любой вид остеосинтеза нужно "оставить" тем, кто знает и умеет его 
использовать. Когда чего-то не умеешь, легче всего выказать 
пренебрежительное отношение - мол, это можно оставить им, мы-то 
по-другому. НаучИтесь - понравится. Вот примерчик, операция закрыто 
через 2 мес. после травмы.


Alexander Chelnokov


----------- следущая часть -----------
Вложение не в текстовом формате было извлечено…
Имя     : 1.jpg
Тип     : image/jpeg
Размер  : 33976 байтов
Описание: отсутствует
Url     : http://weborto.net:8080/pipermail/ortho/attachments/20130511/949c45a1/attachment-0003.jpg 
----------- следущая часть -----------
Вложение не в текстовом формате было извлечено…
Имя     : 2.0001.jpg
Тип     : image/jpeg
Размер  : 28563 байтов
Описание: отсутствует
Url     : http://weborto.net:8080/pipermail/ortho/attachments/20130511/949c45a1/attachment-0004.jpg 
----------- следущая часть -----------
Вложение не в текстовом формате было извлечено…
Имя     : 2.0002.jpg
Тип     : image/jpeg
Размер  : 29867 байтов
Описание: отсутствует
Url     : http://weborto.net:8080/pipermail/ortho/attachments/20130511/949c45a1/attachment-0005.jpg 


Подробная информация о списке рассылки Ortho