[Ortho] Низкий перелом голени: БИОС ?

Алексей Ч. orthoforum на weborto.net
Вс Май 12 22:44:02 YEKST 2013


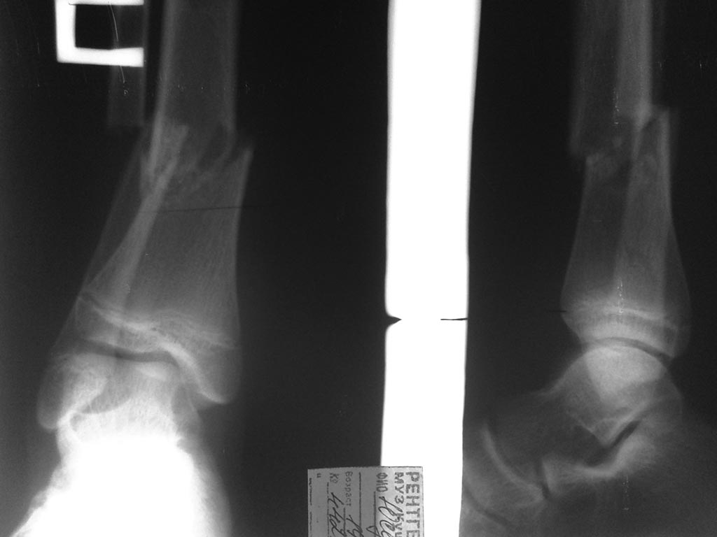
Уважаемые коллеги!Прошу разъяснить ситуацию-каким способом вы 
предпочитаете синтезировать подобные переломы?

В нашем отделении даются рекомендации оперировать подобные переломы 
открыто -LCP.Аргумент против БИОС - возможная нестабильностьучитывая 
короткий дистальный фрагмент.С какими проблемами можно столкнуться в 
ходе имплантации штифта , реабилитационном периоде? Спасибо за внимание!
Алексей Ч.
Кущ ЦРБ

----------- следущая часть -----------
Вложение не в текстовом формате было извлечено…
Имя     : 20130511_003936.jpg
Тип     : image/jpeg
Размер  : 57179 байтов
Описание: отсутствует
Url     : http://weborto.net:8080/pipermail/ortho/attachments/20130512/b1357a9d/attachment-0001.jpg 


Подробная информация о списке рассылки Ortho