[Ortho] Тактика. Оскольчатій перелом дистального отдела плечевой кости

Константин orthoforum на weborto.net
Ср Май 15 11:20:32 YEKST 2013


Уважаемые коллеги, помогите, пожалуйста, определится с тактикой 
дальнейшего лечения при
вторичном смещении после остеосинтеза.

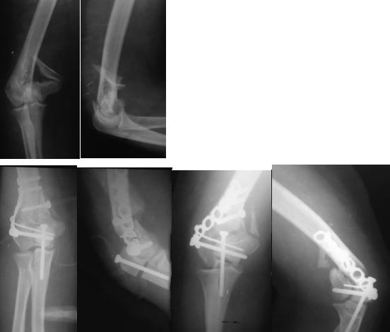
  Пациентка Е., 24 года, травма 3.05.13 в следствии
падения на левую руку. Закрытый многооскольчатый перелом дистального 
отдела левой плечевой кости со смещением, закрытый перелом левой лучевой 
кости в типичном месте без смещения. Операция 7.05.13 (остеотомия 
локтевого отростка, открытая репозиция, МОС). В
послеоперационном периоде перевязки, косыночная повязка. Присутствует 
неврит лучевого нерва, выражен отек мягких тканей. Через 5 суток с 
момента операции, после сна пациентка пожаловалась на хруст в области 
перелома, выполнен контрольный снимок. Подправить закрыто
после снятия швов и одеть гипс шину? Выполнять ресинтез? В какие сроки? 
Удалять конструкции и фиксировать в аппарате вн. фиксации?
Константин



----------- следущая часть -----------
Вложение не в текстовом формате было извлечено…
Имя     : РМ.jpg
Тип     : image/jpeg
Размер  : 31155 байтов
Описание: отсутствует
Url     : http://weborto.net:8080/pipermail/ortho/attachments/20130515/ed392a07/attachment-0001.jpg 


Подробная информация о списке рассылки Ortho