[Ortho] Политравма

Алмаз orthoforum на weborto.net
Ср Май 15 22:45:52 YEKST 2013


Уважаемые коллеги. Нужна помощь по тактике лечения больного с 
множественной травмой.

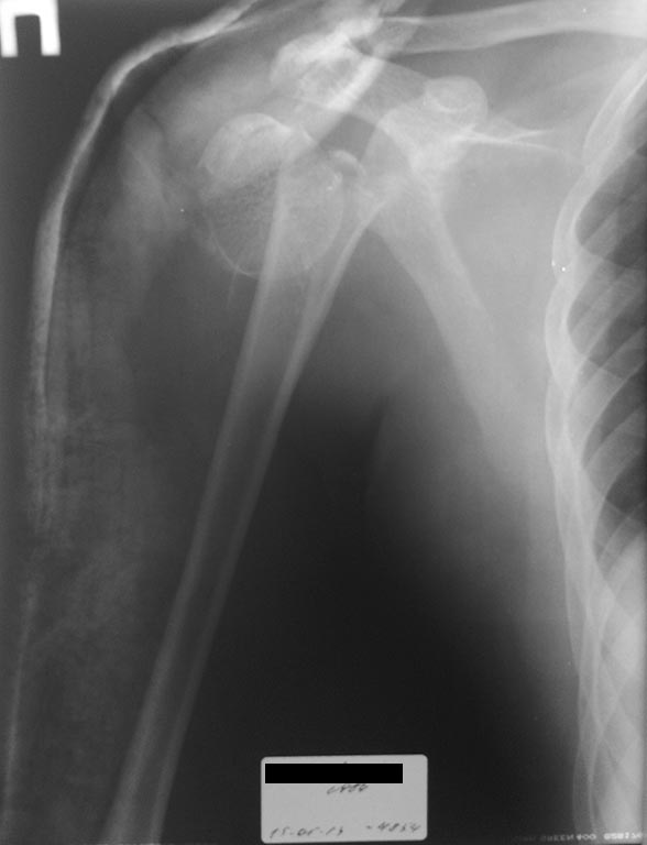
Пациент М, 29 лет, автодорожная травма 10.05.2013, госпитализирован в 
ЦРБ. 15.05.2013 переведен к нам. Имеется ЗЧМТ. Ушиб головного мозга. 
Закрытый перелом головки и шейки обеих плечевых кости, открытый 
многооскольчатый сегментарный перелом костей левой голени (рана по 
передне-медиальной поверхности голени в н/з до 2 см).
На данный момент - скелетное вытяжение за пяточную кость (нога уложена 
на шину Белера), рана без признаков воспаления. Больной стабилен, в 
сознании, левая голень отечный, признаков ишемии конечности, 
компартмент-с-ма нет. Гемоглобин 78 г/л. Произведена гемотрансфузия. На 
МРТ головного мозга - контузионный очаг лобной доли.Интересует тактика 
лечения, последовательность синтеза и выбор фиксаторов.
(имеется канюлированные блокирующие стержни ChM, блокирующие пластины, 
аппарат Илизарова+ЭОП).





Алмаз

----------- следущая часть -----------
Вложение не в текстовом формате было извлечено…
Имя     : 20130515_175857.jpg
Тип     : image/jpeg
Размер  : 43554 байтов
Описание: отсутствует
Url     : http://weborto.net:8080/pipermail/ortho/attachments/20130515/2f663fda/attachment-0001.jpg 


Подробная информация о списке рассылки Ortho