[Ortho] Политравма

Алмаз orthoforum на weborto.net
Чт Май 16 21:05:56 YEKST 2013


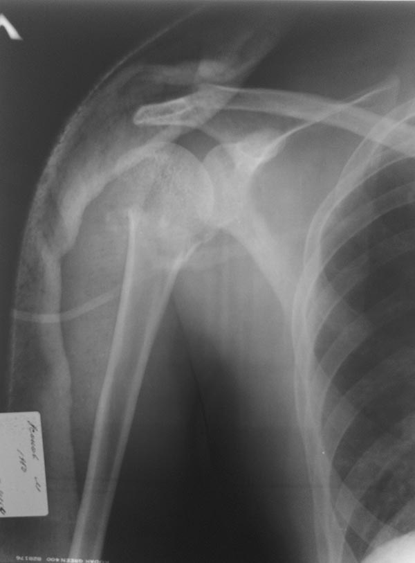
Рентгенограмма левой плечевой кости.
Алмаз

----------- следущая часть -----------
Вложение не в текстовом формате было извлечено…
Имя     : 20130515_175840.jpg
Тип     : image/jpeg
Размер  : 50843 байтов
Описание: отсутствует
Url     : http://weborto.net:8080/pipermail/ortho/attachments/20130516/4e403052/attachment-0001.jpg 


Подробная информация о списке рассылки Ortho