[Ortho] Осложнение после БИОС

Абдурашид orthoforum на weborto.net
Вт Май 21 00:26:52 YEKST 2013


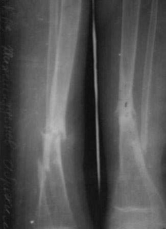
Уважаемые коллеги! помогите советом! Мальчик 2000 г.р. В 2007г получил 
перелом н/з костей правой голени,
						
в районе лечили гипсом 6 месяцев, сращения нет, в обл.центре КДО 
аппаратом Илизарова - 3 месяца, после повторная деформация, в НИИТО КДО 
аппаратом Илизарова -7 месяцев, перелом якобы сросся, но после снятия 
аппарата через 2 недели после незначительной травмы повторный перелом. И 
родители начали лечиться у различных табибов и знахарей, мальчик не 
наступал, ходил с двумя костылями, одели различные ортезы и повязки, и 
нога сильно атрофировалась.(Мне кажется у ребенка был врожд. ложный 
сустав, латентная форма) , и в 2011 г, в октябре обратились к нам. , 
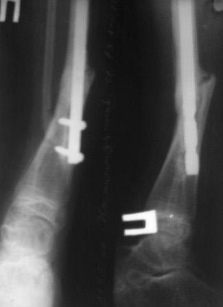
было произведена после рассверливания канала БИОС плечевым стержнем,но 
стержень пошел по мед.стенке дистального отломка поэтому остался 
некоторый вальгус(операция без ЭОП) ребенок через неделю начал 
самостоятельно ходить, клинически деформации нет, все обрадовались, 
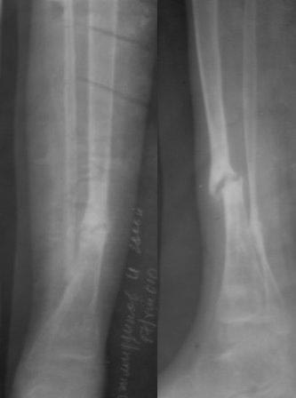
выписали, повторно приехали только ч-з 1,5 года вот с такой деформацией, 
но ребенок ходит в школу, бегает, незначительно хромает, родители 
требуют исправить деформацию.
Пока в голове один план: удалить стержень, закрытая остеоклазия, аппарат 
Илизарова из двух колец постепенная коррекция деформации, рассверливание 
к/м канала, БИОС плечевым стержнем (чуть длиннее), дистально по 
латеральному кортексу с использованием поллерных винтов и спиц.
С уважением Абдурашид.

----------- следущая часть -----------
Вложение не в текстовом формате было извлечено…
Имя     : 2013-05-18-680.jpg
Тип     : image/jpeg
Размер  : 31964 байтов
Описание: отсутствует
Url     : http://weborto.net:8080/pipermail/ortho/attachments/20130521/b83ba80f/attachment-0007.jpg 
----------- следущая часть -----------
Вложение не в текстовом формате было извлечено…
Имя     : 2013-05-18-681 - ЛПРИ?С.jpg
Тип     : image/jpeg
Размер  : 26363 байтов
Описание: отсутствует
Url     : http://weborto.net:8080/pipermail/ortho/attachments/20130521/b83ba80f/attachment-0008.jpg 
----------- следущая часть -----------
Вложение не в текстовом формате было извлечено…
Имя     : 2013-05-18-683 - ЛПРИ?С.jpg
Тип     : image/jpeg
Размер  : 32507 байтов
Описание: отсутствует
Url     : http://weborto.net:8080/pipermail/ortho/attachments/20130521/b83ba80f/attachment-0009.jpg 
----------- следущая часть -----------
Вложение не в текстовом формате было извлечено…
Имя     : 2013-05-18-685 - ЛПРИ?С.jpg
Тип     : image/jpeg
Размер  : 25276 байтов
Описание: отсутствует
Url     : http://weborto.net:8080/pipermail/ortho/attachments/20130521/b83ba80f/attachment-0010.jpg 
----------- следущая часть -----------
Вложение не в текстовом формате было извлечено…
Имя     : 2013-05-18-689 - ЛПРИ?С.jpg
Тип     : image/jpeg
Размер  : 24462 байтов
Описание: отсутствует
Url     : http://weborto.net:8080/pipermail/ortho/attachments/20130521/b83ba80f/attachment-0011.jpg 
----------- следущая часть -----------
Вложение не в текстовом формате было извлечено…
Имя     : 2013-05-18-690 - ЛПРИ?С.jpg
Тип     : image/jpeg
Размер  : 18103 байтов
Описание: отсутствует
Url     : http://weborto.net:8080/pipermail/ortho/attachments/20130521/b83ba80f/attachment-0012.jpg 
----------- следущая часть -----------
Вложение не в текстовом формате было извлечено…
Имя     : 2013-05-18-691 - ЛПРИ?С.jpg
Тип     : image/jpeg
Размер  : 26598 байтов
Описание: отсутствует
Url     : http://weborto.net:8080/pipermail/ortho/attachments/20130521/b83ba80f/attachment-0013.jpg 


Подробная информация о списке рассылки Ortho