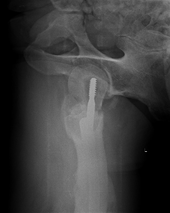
[Ortho] Cut-out

Alexander Chelnokov orthoforum на weborto.net
Пт Май 31 00:50:43 YEKST 2013


Насчет ревизионного штифтования - вот пример, вчера сделали.
Alexander Chelnokov


----------- следущая часть -----------
Вложение не в текстовом формате было извлечено…
Имя     : 1.jpg
Тип     : image/jpeg
Размер  : 68892 байтов
Описание: отсутствует
Url     : http://weborto.net:8080/pipermail/ortho/attachments/20130531/0a9354ad/attachment-0004.jpg 
----------- следущая часть -----------
Вложение не в текстовом формате было извлечено…
Имя     : 1a.jpg
Тип     : image/jpeg
Размер  : 45468 байтов
Описание: отсутствует
Url     : http://weborto.net:8080/pipermail/ortho/attachments/20130531/0a9354ad/attachment-0005.jpg 
----------- следущая часть -----------
Вложение не в текстовом формате было извлечено…
Имя     : 3.jpg
Тип     : image/jpeg
Размер  : 52472 байтов
Описание: отсутствует
Url     : http://weborto.net:8080/pipermail/ortho/attachments/20130531/0a9354ad/attachment-0006.jpg 
----------- следущая часть -----------
Вложение не в текстовом формате было извлечено…
Имя     : 3a.jpg
Тип     : image/jpeg
Размер  : 83792 байтов
Описание: отсутствует
Url     : http://weborto.net:8080/pipermail/ortho/attachments/20130531/0a9354ad/attachment-0007.jpg 


Подробная информация о списке рассылки Ortho