[Ortho] Травма плато большеберцовой кости

Александр orthoforum на weborto.net
Чт Ноя 14 21:56:50 YEKT 2013


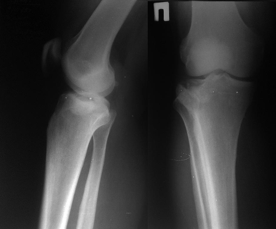
Больной 39 лет, травма от 09.11.13 г. в результате прямого удара по 
голени бампером автомобиля. Наложена лонгета. В данный момент испытываю 
трудности с тактикой лечения: консервативно или оперативно. Какие есть 
варианты операций и где почитать (на форуме похожий случай скатился во 
флуд). Файлы прилагаются.

С уважением, Александр



----------- следущая часть -----------
Вложение не в текстовом формате было извлечено…
Имя     : IMAG0708.jpg
Тип     : image/jpeg
Размер  : 65594 байтов
Описание: отсутствует
Url     : http://weborto.net:8080/pipermail/ortho/attachments/20131114/42e07fb9/attachment-0003.jpg 
----------- следущая часть -----------
Вложение не в текстовом формате было извлечено…
Имя     : IMAG0709.jpg
Тип     : image/jpeg
Размер  : 421524 байтов
Описание: отсутствует
Url     : http://weborto.net:8080/pipermail/ortho/attachments/20131114/42e07fb9/attachment-0004.jpg 
----------- следущая часть -----------
Вложение не в текстовом формате было извлечено…
Имя     : IMAG0710.jpg
Тип     : image/jpeg
Размер  : 405784 байтов
Описание: отсутствует
Url     : http://weborto.net:8080/pipermail/ortho/attachments/20131114/42e07fb9/attachment-0005.jpg 


Подробная информация о списке рассылки Ortho