[Ortho] Рефрактура надколенника

олег шепета orthoforum на weborto.net
Пт Ноя 15 16:13:12 YEKT 2013


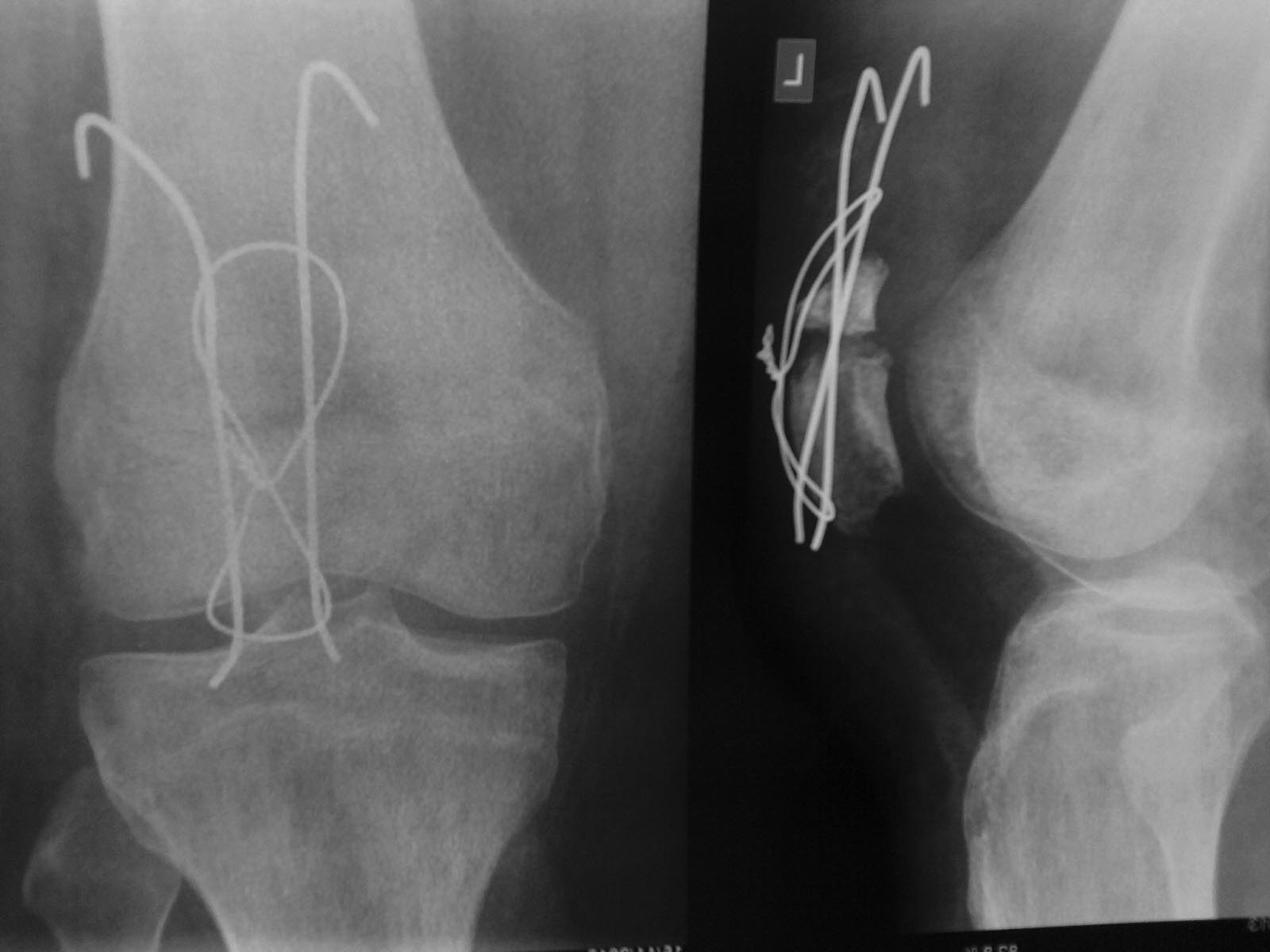
повторный осмотр, как и говорил, через 6 недель после операции, 
выполнено 3 сеанса ударно-волновой терапии, ходил в ортезе на костылях, 
снимая его только для сознательного сгибания в коленном суставе по 
150-180 раз на день)
сгибание до 90 градусов (с небольшим дискомфортом в области сухожилия 
квадрицепса)
пальпаторно при сильном надавливании на надколенник с небольшим 
сгибанием болевых ощущений нет (небольшой дискомфорт) - не знаю, как 
иначе проверить нестабильность сегмента
выполнен рентген-контроль, по которому можно ориентироваться на 
дальнейшую тактику - действительно реМОС (правда уже технически не знаю 
как и чем) или продолжение предыдущего режима
Поделитесь мнениями и опытом
олег шепета

----------- следущая часть -----------
Вложение не в текстовом формате было извлечено…
Имя     : жПФП-0990.jpg
Тип     : image/jpeg
Размер  : 104128 байтов
Описание: отсутствует
Url     : http://weborto.net:8080/pipermail/ortho/attachments/20131115/160aceee/attachment-0001.jpg 


Подробная информация о списке рассылки Ortho