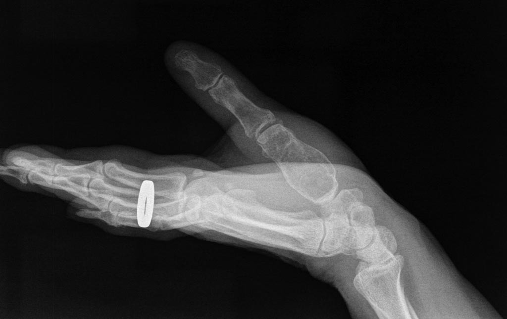
[Ortho] Опухоль 1 пястной кости.

������ ��������� alex61 на gmail.com
Пт Ноя 15 14:07:49 YEKT 2013


Уважаемые коллеги помогите с диагнозом и дальнейшей тактикой 
лечения.Боли беспокоят в течении года,в последнее время не может 
писать,и резко снизилась сила хвата кисти.


Андрей Кияночкин



----------- следущая часть -----------
Вложение не в текстовом формате было извлечено…
Имя     : 1.JPG
Тип     : image/jpeg
Размер  : 52842 байтов
Описание: отсутствует
Url     : http://weborto.net:8080/pipermail/ortho/attachments/20131115/763f7226/attachment-0007.jpeg 


Подробная информация о списке рассылки Ortho