[Ortho] дефект-диастаз левой плечевой кости

Александр Артемьев alex_artemiev на mail.ru
Вс Ноя 17 23:00:04 YEKT 2013


п≈п╢я─п╟п╡я│я┌п╡я┐п╧я┌п╣ п╢п╬я─п╬пЁп╦п╣ п╨п╬п╩п╩п╣пЁп╦
п╔п╬я┌п╣п╩ п╠я▀ я┐я│п╩я▀я┬п╟я┌я▄ п╪п╫п╣п╫п╦п╣.
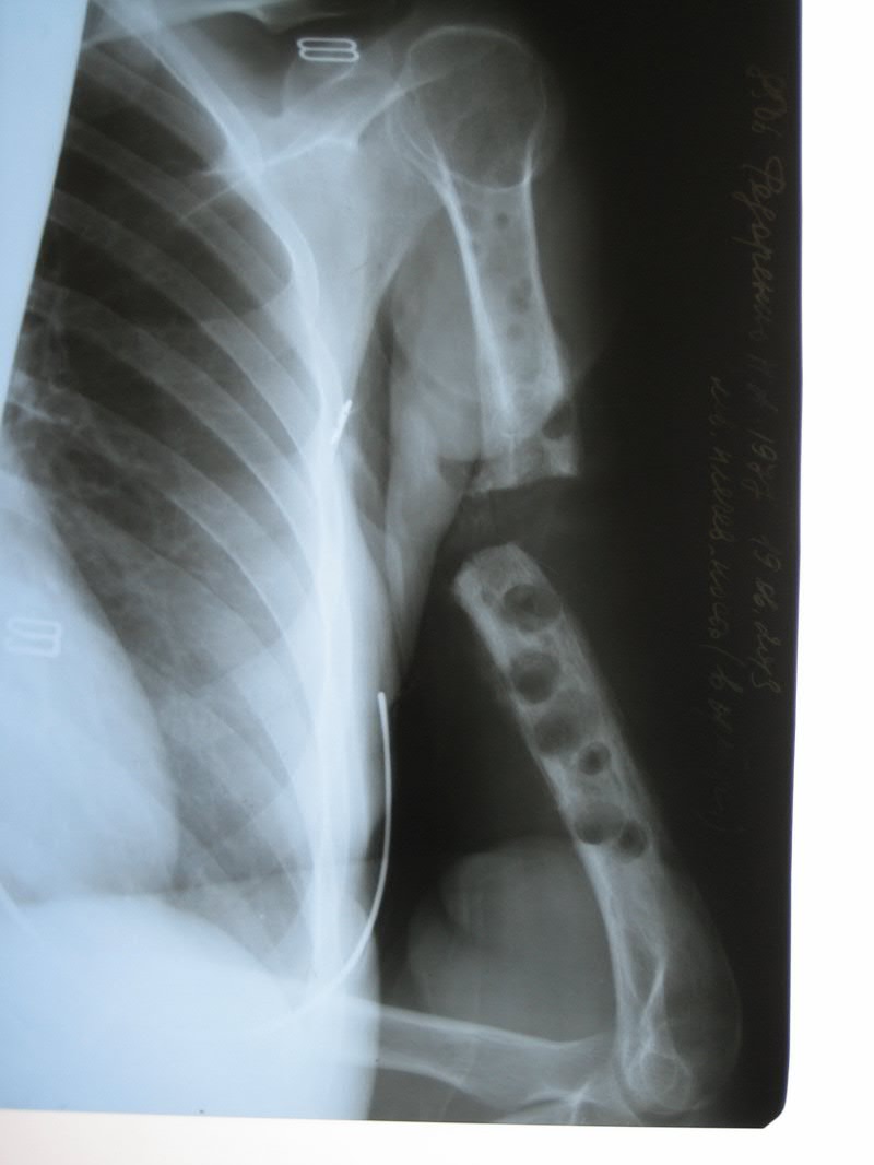
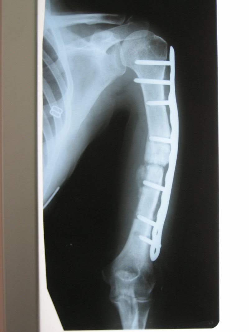
п÷п╟я├п╦п╣п╫я┌п╨п╟ п╩п╣я┌ 40.
п■п╡п╟ пЁп╬п╢п╟ п╫п╟п╥п╟п╢ б═- п©п╣я─п╣п╩п╬п╪ п©п╩п╣я┤п╟.
п÷п╬я│п╩п╣п╢п╬п╡п╟я┌п╣п╩я▄п╫п╬ я│я┌п╟п╡п╦п╩п╦ я┌я─п╦ п©п╩п╟я│я┌п╦п╫я▀. п²п╟ п╡я│п╣ - п╬я┌я┌п╬я─п╤п╣п╫п╦п╣ п╪п╣я┌п╟п╩п╩п╟.
п║п╣п╧я┤п╟я│ - п╢п╣я└п╣п╨я┌-п╢п╦п╟я│я┌п╟п╥+я┐п╨п╬я─п╬я┤п╣п╫п╦п╣. п║я┐п╪п╪п╟я─п╫я▀п╧ п╢п╣я└п╣п╨я┌ п╬п╨п╬п╩п╬ 6 я│п╪. п■я▀я─п╨п╦ п╬я┌ п╡п╦п╫я┌п╬п╡. п≤п╫я└п╣п╨я├п╦п╦ п╫п╣я┌.
п п╟п╨ п©п╬я│я┌я┐п©п╦я┌я▄?б═

п░п╩п╣п╨я│п╟п╫п╢я─ п░я─я┌п╣п╪я▄п╣п╡
----------- следущая часть -----------
п▓п╩п╬п╤п╣п╫п╦п╣ п╡ я└п╬я─п╪п╟я┌п╣ HTML п╠я▀п╩п╬ п╦п╥п╡п╩п╣я┤п╣п╫п╬…
URL: http://weborto.net:8080/pipermail/ortho/attachments/20131117/0671da55/attachment-0001.htm 
----------- следущая часть -----------
п▓п╩п╬п╤п╣п╫п╦п╣ п╫п╣ п╡ я┌п╣п╨я│я┌п╬п╡п╬п╪ я└п╬я─п╪п╟я┌п╣ п╠я▀п╩п╬ п╦п╥п╡п╩п╣я┤п╣п╫п╬…
п≤п╪я▐     : п╬я┌я│я┐я┌я│я┌п╡я┐п╣я┌
п╒п╦п©     : image/jpeg
п═п╟п╥п╪п╣я─  : 63292 п╠п╟п╧я┌п╬п╡
п·п©п╦я│п╟п╫п╦п╣: п╬я┌я│я┐я┌я│я┌п╡я┐п╣я┌
Url     : http://weborto.net:8080/pipermail/ortho/attachments/20131117/0671da55/attachment-0004.jpeg 
----------- следущая часть -----------
п▓п╩п╬п╤п╣п╫п╦п╣ п╫п╣ п╡ я┌п╣п╨я│я┌п╬п╡п╬п╪ я└п╬я─п╪п╟я┌п╣ п╠я▀п╩п╬ п╦п╥п╡п╩п╣я┤п╣п╫п╬…
п≤п╪я▐     : п╬я┌я│я┐я┌я│я┌п╡я┐п╣я┌
п╒п╦п©     : image/jpeg
п═п╟п╥п╪п╣я─  : 74765 п╠п╟п╧я┌п╬п╡
п·п©п╦я│п╟п╫п╦п╣: п╬я┌я│я┐я┌я│я┌п╡я┐п╣я┌
Url     : http://weborto.net:8080/pipermail/ortho/attachments/20131117/0671da55/attachment-0005.jpeg 
----------- следущая часть -----------
п▓п╩п╬п╤п╣п╫п╦п╣ п╫п╣ п╡ я┌п╣п╨я│я┌п╬п╡п╬п╪ я└п╬я─п╪п╟я┌п╣ п╠я▀п╩п╬ п╦п╥п╡п╩п╣я┤п╣п╫п╬…
п≤п╪я▐     : п╬я┌я│я┐я┌я│я┌п╡я┐п╣я┌
п╒п╦п©     : image/jpeg
п═п╟п╥п╪п╣я─  : 41405 п╠п╟п╧я┌п╬п╡
п·п©п╦я│п╟п╫п╦п╣: п╬я┌я│я┐я┌я│я┌п╡я┐п╣я┌
Url     : http://weborto.net:8080/pipermail/ortho/attachments/20131117/0671da55/attachment-0006.jpeg 
----------- следущая часть -----------
п▓п╩п╬п╤п╣п╫п╦п╣ п╫п╣ п╡ я┌п╣п╨я│я┌п╬п╡п╬п╪ я└п╬я─п╪п╟я┌п╣ п╠я▀п╩п╬ п╦п╥п╡п╩п╣я┤п╣п╫п╬…
п≤п╪я▐     : п╬я┌я│я┐я┌я│я┌п╡я┐п╣я┌
п╒п╦п©     : image/jpeg
п═п╟п╥п╪п╣я─  : 67606 п╠п╟п╧я┌п╬п╡
п·п©п╦я│п╟п╫п╦п╣: п╬я┌я│я┐я┌я│я┌п╡я┐п╣я┌
Url     : http://weborto.net:8080/pipermail/ortho/attachments/20131117/0671da55/attachment-0007.jpeg 


Подробная информация о списке рассылки Ortho