[Ortho] Ложный сустав плечевой кости

Абдурашид orthoforum на weborto.net
Пн Ноя 18 17:40:12 YEKT 2013


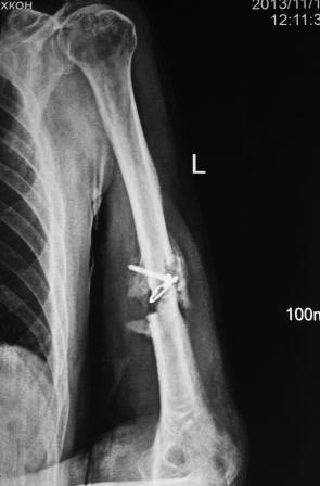
Пациент 1942г.р. 4 месяца назад оперирован в экстренном порядке в другом 
областном неотложном центре, 20 дней назад гипс снят и направлен к нам.

Пациент активный, оптимист, никогда ничем не болел. Локально: тугой 
ложный сустав с варусной деформацией, клиника полного повреждения 
лучевого нерва (со слов, до операции также рука висела), контрактура 
локтевого сустава, разгибательная контрактура л/з сустава и 
пальцев,воспалительных изменений нет. От предложенного БИОС по 
финансовым соображениям отказался.

Предварительный план лечения: удаление металлоконструкций,
ревизия лучевого нерва (возможно, пластика нерва), освежение концов до 
появление "росы", и адаптация концов возможно по типу "русского замка", 
фиксация либо аппаратом Илизарова, либо пластиной ( у нас обычные 
пластины ЦИТО типа DCP), возможно укорочение на 2-3 см, но это
для плеча большого значения не имеет, главное - ранняя и усиленная 
разработка движений в суставах руки. Уважаемые коллеги не осуждайте 
строго за банальность, я пишу про то, что имеем и
сможем, и если можно прошу помочь советом, или примерами из практики.. С 
уважением Абдурашид.





----------- следущая часть -----------
Вложение не в текстовом формате было извлечено…
Имя     : 20131118_125731 - ЛПРИ?С.jpg
Тип     : image/jpeg
Размер  : 34609 байтов
Описание: отсутствует
Url     : http://weborto.net:8080/pipermail/ortho/attachments/20131118/c745c8e2/attachment-0027.jpg 
----------- следущая часть -----------
Вложение не в текстовом формате было извлечено…
Имя     : 20131118_125752 - ЛПРИ?С.jpg
Тип     : image/jpeg
Размер  : 21379 байтов
Описание: отсутствует
Url     : http://weborto.net:8080/pipermail/ortho/attachments/20131118/c745c8e2/attachment-0028.jpg 
----------- следущая часть -----------
Вложение не в текстовом формате было извлечено…
Имя     : 20131118_125944 - ЛПРИ?С.jpg
Тип     : image/jpeg
Размер  : 30711 байтов
Описание: отсутствует
Url     : http://weborto.net:8080/pipermail/ortho/attachments/20131118/c745c8e2/attachment-0029.jpg 


Подробная информация о списке рассылки Ortho