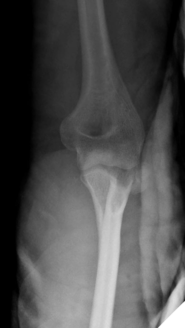
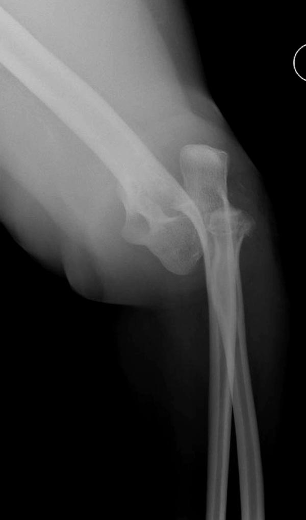
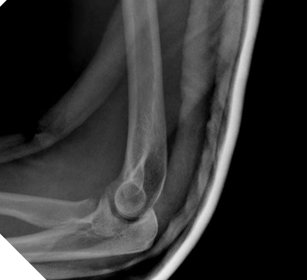
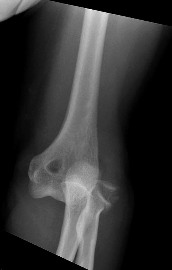
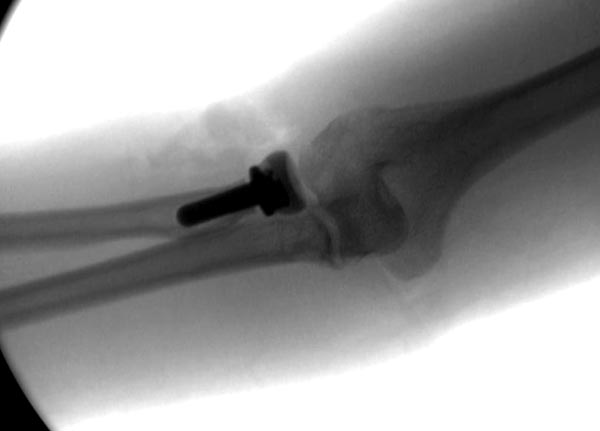
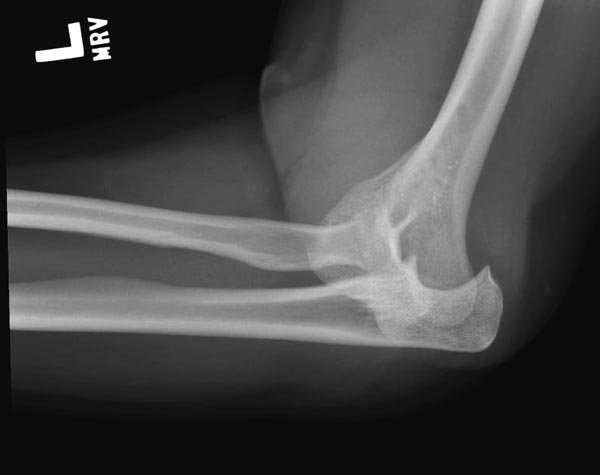
[Ortho] ПЕРЕЛОМ ГОЛОВКИ ЛУЧЕВОЙ КОСТИ.

Djoldas Kuldjanov, M.D. orthoforum на weborto.net
Вт Ноя 19 21:08:27 YEKT 2013


Второе наблюдение

Djoldas Kuldjanov, M.D.


----------- следущая часть -----------
Вложение не в текстовом формате было извлечено…
Имя     : 1 Elbow radial head fx.jpg
Тип     : image/jpeg
Размер  : 32053 байтов
Описание: отсутствует
Url     : http://weborto.net:8080/pipermail/ortho/attachments/20131119/f32c92dc/attachment-0001.jpg 
----------- следущая часть -----------
Вложение не в текстовом формате было извлечено…
Имя     : 2 Elbow radial head fx.JPG
Тип     : image/jpeg
Размер  : 37638 байтов
Описание: отсутствует
Url     : http://weborto.net:8080/pipermail/ortho/attachments/20131119/f32c92dc/attachment-0006.jpeg 
----------- следущая часть -----------
Вложение не в текстовом формате было извлечено…
Имя     : 3 Elbow radial head fx.JPG
Тип     : image/jpeg
Размер  : 26716 байтов
Описание: отсутствует
Url     : http://weborto.net:8080/pipermail/ortho/attachments/20131119/f32c92dc/attachment-0007.jpeg 
----------- следущая часть -----------
Вложение не в текстовом формате было извлечено…
Имя     : 4 Elbow radial head fx.JPG
Тип     : image/jpeg
Размер  : 34731 байтов
Описание: отсутствует
Url     : http://weborto.net:8080/pipermail/ortho/attachments/20131119/f32c92dc/attachment-0008.jpeg 
----------- следущая часть -----------
Вложение не в текстовом формате было извлечено…
Имя     : 5 Elbow radial head fx.JPG
Тип     : image/jpeg
Размер  : 44285 байтов
Описание: отсутствует
Url     : http://weborto.net:8080/pipermail/ortho/attachments/20131119/f32c92dc/attachment-0009.jpeg 
----------- следущая часть -----------
Вложение не в текстовом формате было извлечено…
Имя     : 6 Elbow radial head fx.JPG
Тип     : image/jpeg
Размер  : 23423 байтов
Описание: отсутствует
Url     : http://weborto.net:8080/pipermail/ortho/attachments/20131119/f32c92dc/attachment-0010.jpeg 
----------- следущая часть -----------
Вложение не в текстовом формате было извлечено…
Имя     : 7 Elbow radial head fx.JPG
Тип     : image/jpeg
Размер  : 31784 байтов
Описание: отсутствует
Url     : http://weborto.net:8080/pipermail/ortho/attachments/20131119/f32c92dc/attachment-0011.jpeg 


Подробная информация о списке рассылки Ortho