[Ortho] тяжелый таз

maxim agalakov orthoforum на weborto.net
Ср Ноя 20 19:21:01 YEKT 2013


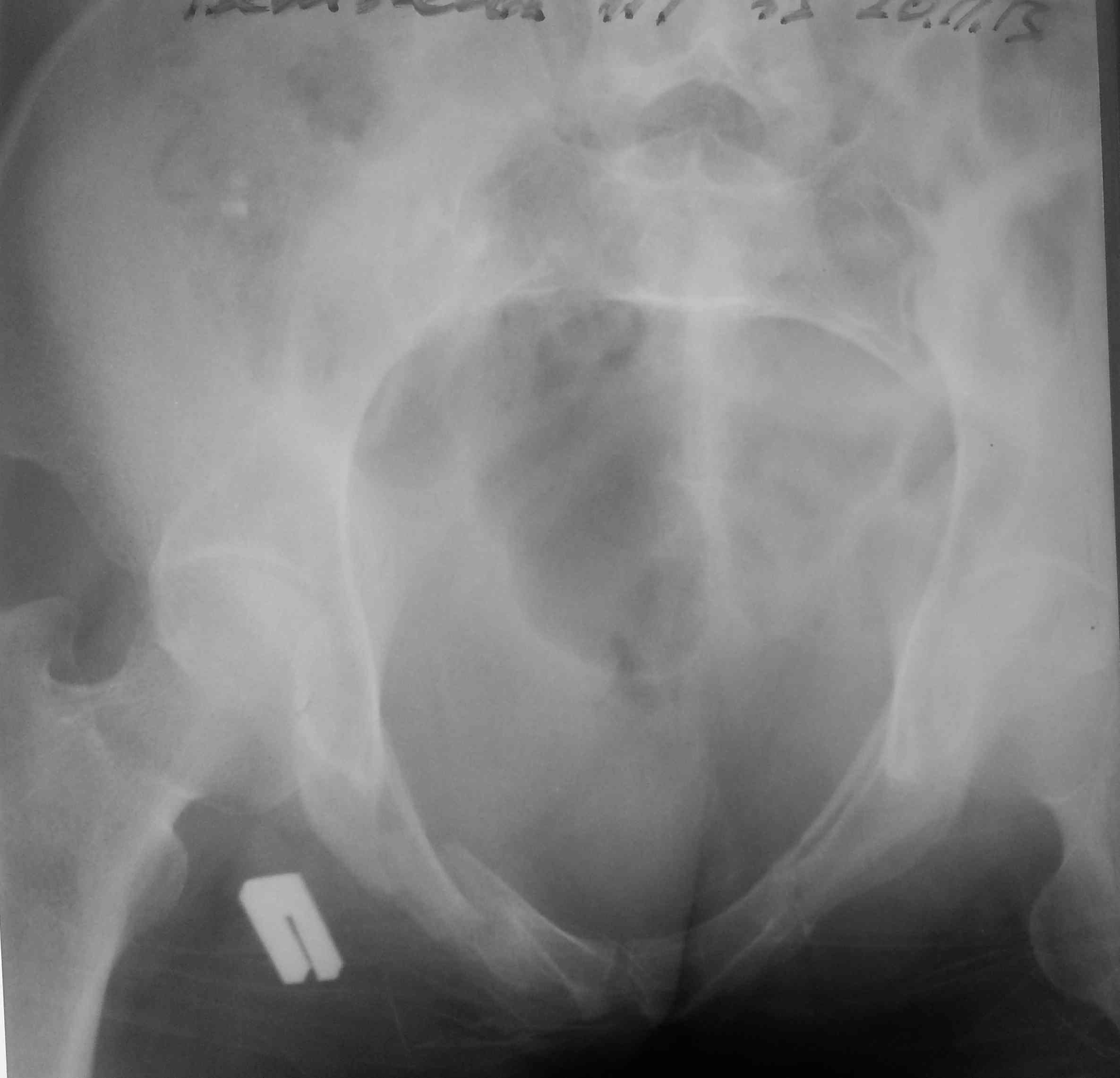
высылаю контрольные снимки на вытяжении, правую половину таза 
подрепонировали вручную, за лево - скелетка. Дополнительно, левое плечо 
- диафиз, множественные переломы ребер слева. Стала хуже по легким. Пока 
план - при улучшении по легким - передняя рама + илиосакральные винты 
справа, при улучшении - расслабляем переднюю раму, открыто синтезируем 
подвздошную кость задним доступом, обратно затягиваем аппарат. Плечо - 
когда получится
maxim agalakov

----------- следущая часть -----------
Вложение не в текстовом формате было извлечено…
Имя     : 20131120_153813 (1).jpg
Тип     : image/jpeg
Размер  : 52625 байтов
Описание: отсутствует
Url     : http://weborto.net:8080/pipermail/ortho/attachments/20131120/5464d433/attachment-0003.jpg 
----------- следущая часть -----------
Вложение не в текстовом формате было извлечено…
Имя     : 20131120_153921 (1).jpg
Тип     : image/jpeg
Размер  : 62873 байтов
Описание: отсутствует
Url     : http://weborto.net:8080/pipermail/ortho/attachments/20131120/5464d433/attachment-0004.jpg 
----------- следущая часть -----------
Вложение не в текстовом формате было извлечено…
Имя     : 20131120_154033.jpg
Тип     : image/jpeg
Размер  : 62361 байтов
Описание: отсутствует
Url     : http://weborto.net:8080/pipermail/ortho/attachments/20131120/5464d433/attachment-0005.jpg 


Подробная информация о списке рассылки Ortho