[Ortho] Для чего проволока в пальце?

Евгений orthoforum на weborto.net
Ср Ноя 27 15:24:26 YEKT 2013


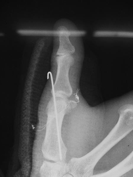
Уважаемые коллеги!!! Помогите разобраться!!! В отделение поступил 
пациент, которого оперировали в Тайланде 11 ноября 2013г. Травма 
получена в результате падения с опорой на кисть. Со слов пациента 
оперирован по поводу вывиха в пястно-фалангового сустава, вывих
закрытый, без повреждения сухожилий (первичных снимков нет). Сделали вот 
такой остеосинтез (см. фото). Не можем понять для чего проволока??? 
Пациенту рекомендовали тайландскиие врачи удалить проволоку через 2 
месяца со дня операции, проволока выведена на кожу с 2-х сторон.


Евгений
68ГКБ


----------- следущая часть -----------
Вложение не в текстовом формате было извлечено…
Имя     : 20131127_140752.jpg
Тип     : image/jpeg
Размер  : 45182 байтов
Описание: отсутствует
Url     : http://weborto.net:8080/pipermail/ortho/attachments/20131127/7a169393/attachment-0001.jpg 


Подробная информация о списке рассылки Ortho