[Ortho] перелом голени

Maxim Agalakov orthoforum на weborto.net
Ср Ноя 27 10:15:01 YEKT 2013


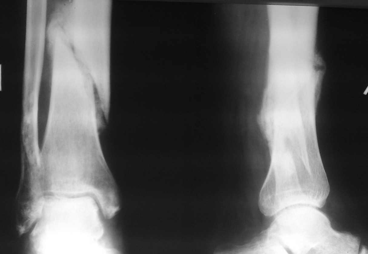
   пример функционального лечения по Сармиенто похожего перелома. 
Рентгенограммы в 1 мес, 3,5 мес, фото  и видео 3,5 мес. 
(http://weborto.net/forum/pics/2013/11/2705.mp4) Движения в колене в 
полном объеме, в голеностопе - небольшое ограничение (пара дней после 
снятия повязки), нагрузка безболезненная.
Maxim Agalakov

----------- следущая часть -----------
Вложение не в текстовом формате было извлечено…
Имя     : 1 мес бок.jpg
Тип     : image/jpeg
Размер  : 25142 байтов
Описание: отсутствует
Url     : http://weborto.net:8080/pipermail/ortho/attachments/20131127/74c4cd2f/attachment-0004.jpg 
----------- следущая часть -----------
Вложение не в текстовом формате было извлечено…
Имя     : 1 мес.jpg
Тип     : image/jpeg
Размер  : 21677 байтов
Описание: отсутствует
Url     : http://weborto.net:8080/pipermail/ortho/attachments/20131127/74c4cd2f/attachment-0005.jpg 
----------- следущая часть -----------
Вложение не в текстовом формате было извлечено…
Имя     : 3,5 мес.jpg
Тип     : image/jpeg
Размер  : 41971 байтов
Описание: отсутствует
Url     : http://weborto.net:8080/pipermail/ortho/attachments/20131127/74c4cd2f/attachment-0006.jpg 
----------- следущая часть -----------
Вложение не в текстовом формате было извлечено…
Имя     : фото.jpg
Тип     : image/jpeg
Размер  : 46093 байтов
Описание: отсутствует
Url     : http://weborto.net:8080/pipermail/ortho/attachments/20131127/74c4cd2f/attachment-0007.jpg 


Подробная информация о списке рассылки Ortho