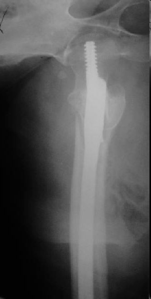
[Ortho] Чрезподвертельный перелом бедра. Остеосинтез стержнем. Перелом металлофиксатора. Дальнейшая тактика?

Alexander Chelnokov orthoforum на weborto.net
Пн Окт 14 03:39:36 YEKST 2013


Это типичная проблема, вот аналогичный случай. Удалили, исправили, 
фиксировали другим PFN.
Alexander Chelnokov


----------- следущая часть -----------
Вложение не в текстовом формате было извлечено…
Имя     : image001.jpg
Тип     : image/jpeg
Размер  : 48209 байтов
Описание: отсутствует
Url     : http://weborto.net:8080/pipermail/ortho/attachments/20131014/9ce6c8de/attachment-0004.jpg 
----------- следущая часть -----------
Вложение не в текстовом формате было извлечено…
Имя     : image003.jpg
Тип     : image/jpeg
Размер  : 48809 байтов
Описание: отсутствует
Url     : http://weborto.net:8080/pipermail/ortho/attachments/20131014/9ce6c8de/attachment-0005.jpg 
----------- следущая часть -----------
Вложение не в текстовом формате было извлечено…
Имя     : image005.jpg
Тип     : image/jpeg
Размер  : 49253 байтов
Описание: отсутствует
Url     : http://weborto.net:8080/pipermail/ortho/attachments/20131014/9ce6c8de/attachment-0006.jpg 
----------- следущая часть -----------
Вложение не в текстовом формате было извлечено…
Имя     : image007.jpg
Тип     : image/jpeg
Размер  : 50461 байтов
Описание: отсутствует
Url     : http://weborto.net:8080/pipermail/ortho/attachments/20131014/9ce6c8de/attachment-0007.jpg 


Подробная информация о списке рассылки Ortho