[Ortho] перелом луча в типичном месте

Саакян Артур Абелович orthoforum на weborto.net
Вс Окт 27 13:58:21 YEKT 2013


Перелом в "типичном месте" , Вопрос о фиксации шиловидного отростка 
локтевой кости...

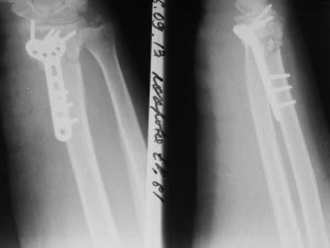
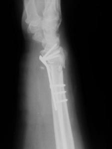
Оскольчатый перелом дистального метаэпифиза лучевой кости со смещением 
отломков. Вопрос по поводу фиксации шиловидного отростка локтевой кости 
Хотелось бы узнать мнения и аргументы. Надо ли фиксировать вообще?, если 
да, то чем? и почему? Надеюсь на помощь коллег.
Саакян Артур Абелович

----------- следущая часть -----------
Вложение не в текстовом формате было извлечено…
Имя     : 20131004_125020-300x225.jpg
Тип     : image/jpeg
Размер  : 24008 байтов
Описание: отсутствует
Url     : http://weborto.net:8080/pipermail/ortho/attachments/20131027/835ee3f8/attachment-0004.jpg 
----------- следущая часть -----------
Вложение не в текстовом формате было извлечено…
Имя     : 20131004_125024-300x225.jpg
Тип     : image/jpeg
Размер  : 30563 байтов
Описание: отсутствует
Url     : http://weborto.net:8080/pipermail/ortho/attachments/20131027/835ee3f8/attachment-0005.jpg 
----------- следущая часть -----------
Вложение не в текстовом формате было извлечено…
Имя     : 20131004_125034-300x225.jpg
Тип     : image/jpeg
Размер  : 21488 байтов
Описание: отсутствует
Url     : http://weborto.net:8080/pipermail/ortho/attachments/20131027/835ee3f8/attachment-0006.jpg 
----------- следущая часть -----------
Вложение не в текстовом формате было извлечено…
Имя     : 20131004_125038-300x225.jpg
Тип     : image/jpeg
Размер  : 18371 байтов
Описание: отсутствует
Url     : http://weborto.net:8080/pipermail/ortho/attachments/20131027/835ee3f8/attachment-0007.jpg 


Подробная информация о списке рассылки Ortho