[Ortho]

Djoldas Kuldjanov, M.D. orthoforum weborto.net
1 23:25:57 YEKST 2013


> Система ЦИТО это аппарат внешней фиксации, в крылья подвздошных костей вводятся по 2 стержня, которые жестко фиксируются в резьбовой поперечной планке. Есть возможность работать в аппарате с передним отделом таза (компрессия, дистракция).


Описание системы ЦИТО не нашел, но по представленному снимку, здесь 
точка введения стержня выбрана верхне-передная ость, т.е. место 
прикрепления m. sartorius. Такая система разработана для ургентной 
стабилизации таза, и при отстутствии рентгена в приемной. Система не для 
длительного пользования, и после стабилизации больного должна пройти 
ревизию со сменой на более стабильный наружный фиксатор, или удалена 
после окончательной фиксации таза.
В крыле подвздошной кости толщина кости не более 3 мм, и 5 мм стержен в 
большинстве случаев попадает в никуда,  "airball". Со временем стержни 
расшатываются? и нестабильность не даст“работать в аппарате в передним 
отделе (компрессия, дистракция)”. Действующие векторы сил создают 
компрессию спереди, а задние отделы остаются под дистракцией!
Рядом с ASIS выходит femoral cutaneous nerve, который очень легко 
повреждается при проведении стержня. В результате чего потеря 
чувствительности передне-латеральной поверхности бедра, и этому явлению 
многие не придают значения, но некоторые молодые женщины относятся очень 
ревностно!.
О преимуществах более стабильной фиксации,которая легко осуществляется 
под рентгеном, говорили много раз. Слабость фиксации можно исправить за 
счет нескольких стержней, проведенных более вертикально в подздошной 
кости, или приближением стержней ближе к симфизу через AIIS.
Здесь снимки, которые показывают направление стержня, а также идею 
репозиции вытяжением. На рентгенопроницаемых столах имеется возможность 
установить дополнительную раму, где по желанию можно увеличить или 
уменьшить высоту угла вытяжения. Для репозиции таза больной в положение 
на спине, стержень для вытяжения остается во время операции. Система 
подойдет для тракции головки бедра из вертлужной впадины, и для этого 
стерильная веревка и Synthes Universal Chuck with T-Handle.

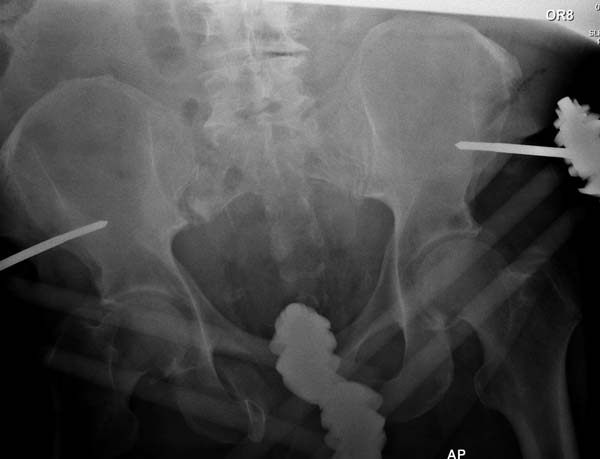
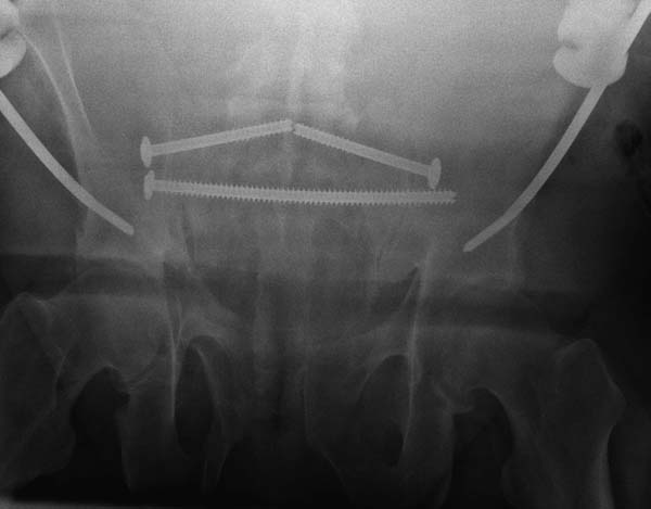
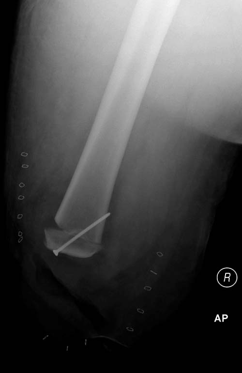
Двухстороннее повреждение крестца и травматическая ампутация бедра, где 
неопытной бригадой дежурантов установлен верхний наружный фиксатор для 
стабилизации. На третий день ревизия на более стабильный, и 
окончательная фиксация. Первые снимки после стабилизации таза, и другие, 
  где показаны (параллельные) правильная установка на AIIS т.е на месте 
прикрепления прямой мышцы бедра. Ампутация закончена костно пластическим 
методом.

Djoldas Kuldjanov, M.D.



-----------   -----------
Вложение не в текстовом формате было извлечено…
Имя     : 1 Bilat Sacrum disl.jpg
Тип     : image/jpeg
Размер  : 27780 байтов
Описание: отсутствует
Url     : http://weborto.net:8080/pipermail/ortho/attachments/20130902/08a50e14/attachment-0023.jpg 
-----------   -----------
Вложение не в текстовом формате было извлечено…
Имя     : 1 Traction.jpeg
Тип     : image/jpeg
Размер  : 79991 байтов
Описание: отсутствует
Url     : http://weborto.net:8080/pipermail/ortho/attachments/20130902/08a50e14/attachment-0004.jpeg 
-----------   -----------
Вложение не в текстовом формате было извлечено…
Имя     : 2 Bilat Sacrum disl.jpg
Тип     : image/jpeg
Размер  : 30169 байтов
Описание: отсутствует
Url     : http://weborto.net:8080/pipermail/ortho/attachments/20130902/08a50e14/attachment-0024.jpg 
-----------   -----------
Вложение не в текстовом формате было извлечено…
Имя     : 2 Traction .jpg
Тип     : image/jpeg
Размер  : 110719 байтов
Описание: отсутствует
Url     : http://weborto.net:8080/pipermail/ortho/attachments/20130902/08a50e14/attachment-0025.jpg 
-----------   -----------
Вложение не в текстовом формате было извлечено…
Имя     : 3 Bilat Sacrum disl.jpg
Тип     : image/jpeg
Размер  : 30813 байтов
Описание: отсутствует
Url     : http://weborto.net:8080/pipermail/ortho/attachments/20130902/08a50e14/attachment-0026.jpg 
-----------   -----------
Вложение не в текстовом формате было извлечено…
Имя     : 3 Traction.jpg
Тип     : image/jpeg
Размер  : 100891 байтов
Описание: отсутствует
Url     : http://weborto.net:8080/pipermail/ortho/attachments/20130902/08a50e14/attachment-0027.jpg 
-----------   -----------
Вложение не в текстовом формате было извлечено…
Имя     : 4 Bilat Sacrum disl.jpg
Тип     : image/jpeg
Размер  : 49394 байтов
Описание: отсутствует
Url     : http://weborto.net:8080/pipermail/ortho/attachments/20130902/08a50e14/attachment-0028.jpg 
-----------   -----------
Вложение не в текстовом формате было извлечено…
Имя     : 4 Traction.jpg
Тип     : image/jpeg
Размер  : 131641 байтов
Описание: отсутствует
Url     : http://weborto.net:8080/pipermail/ortho/attachments/20130902/08a50e14/attachment-0029.jpg 
-----------   -----------
Вложение не в текстовом формате было извлечено…
Имя     : 5 Bilat Sacrum disl.jpg
Тип     : image/jpeg
Размер  : 51557 байтов
Описание: отсутствует
Url     : http://weborto.net:8080/pipermail/ortho/attachments/20130902/08a50e14/attachment-0030.jpg 
-----------   -----------
Вложение не в текстовом формате было извлечено…
Имя     : 5 lat raction.jpeg
Тип     : image/jpeg
Размер  : 72964 байтов
Описание: отсутствует
Url     : http://weborto.net:8080/pipermail/ortho/attachments/20130902/08a50e14/attachment-0005.jpeg 
-----------   -----------
Вложение не в текстовом формате было извлечено…
Имя     : 6 Bilat Sacrum disl.jpg
Тип     : image/jpeg
Размер  : 58329 байтов
Описание: отсутствует
Url     : http://weborto.net:8080/pipermail/ortho/attachments/20130902/08a50e14/attachment-0031.jpg 
-----------   -----------
Вложение не в текстовом формате было извлечено…
Имя     : 6 lat raction.jpg
Тип     : image/jpeg
Размер  : 66743 байтов
Описание: отсутствует
Url     : http://weborto.net:8080/pipermail/ortho/attachments/20130902/08a50e14/attachment-0032.jpg 
-----------   -----------
Вложение не в текстовом формате было извлечено…
Имя     : 7 lattraction.jpeg
Тип     : image/jpeg
Размер  : 64183 байтов
Описание: отсутствует
Url     : http://weborto.net:8080/pipermail/ortho/attachments/20130902/08a50e14/attachment-0006.jpeg 
-----------   -----------
Вложение не в текстовом формате было извлечено…
Имя     : 7 SI fix.jpg
Тип     : image/jpeg
Размер  : 35281 байтов
Описание: отсутствует
Url     : http://weborto.net:8080/pipermail/ortho/attachments/20130902/08a50e14/attachment-0033.jpg 
-----------   -----------
Вложение не в текстовом формате было извлечено…
Имя     : 8 lat traction.jpeg
Тип     : image/jpeg
Размер  : 59313 байтов
Описание: отсутствует
Url     : http://weborto.net:8080/pipermail/ortho/attachments/20130902/08a50e14/attachment-0007.jpeg 
-----------   -----------
Вложение не в текстовом формате было извлечено…
Имя     : 11 SI fix.jpg
Тип     : image/jpeg
Размер  : 30044 байтов
Описание: отсутствует
Url     : http://weborto.net:8080/pipermail/ortho/attachments/20130902/08a50e14/attachment-0034.jpg 
-----------   -----------
Вложение не в текстовом формате было извлечено…
Имя     : 12 SI fix.jpg
Тип     : image/jpeg
Размер  : 30292 байтов
Описание: отсутствует
Url     : http://weborto.net:8080/pipermail/ortho/attachments/20130902/08a50e14/attachment-0035.jpg 
-----------   -----------
Вложение не в текстовом формате было извлечено…
Имя     : 14 SI revision.jpg
Тип     : image/jpeg
Размер  : 28176 байтов
Описание: отсутствует
Url     : http://weborto.net:8080/pipermail/ortho/attachments/20130902/08a50e14/attachment-0036.jpg 
-----------   -----------
Вложение не в текстовом формате было извлечено…
Имя     : 15 SI revision.jpg
Тип     : image/jpeg
Размер  : 41501 байтов
Описание: отсутствует
Url     : http://weborto.net:8080/pipermail/ortho/attachments/20130902/08a50e14/attachment-0037.jpg 
-----------   -----------
Вложение не в текстовом формате было извлечено…
Имя     : 16 SI revision.jpg
Тип     : image/jpeg
Размер  : 28451 байтов
Описание: отсутствует
Url     : http://weborto.net:8080/pipermail/ortho/attachments/20130902/08a50e14/attachment-0038.jpg 
-----------   -----------
Вложение не в текстовом формате было извлечено…
Имя     : 18 SI revision.jpg
Тип     : image/jpeg
Размер  : 37478 байтов
Описание: отсутствует
Url     : http://weborto.net:8080/pipermail/ortho/attachments/20130902/08a50e14/attachment-0039.jpg 
-----------   -----------
Вложение не в текстовом формате было извлечено…
Имя     : 20 SI revision.jpg
Тип     : image/jpeg
Размер  : 33418 байтов
Описание: отсутствует
Url     : http://weborto.net:8080/pipermail/ortho/attachments/20130902/08a50e14/attachment-0040.jpg 
-----------   -----------
Вложение не в текстовом формате было извлечено…
Имя     : 25 SI revision final.jpg
Тип     : image/jpeg
Размер  : 46626 байтов
Описание: отсутствует
Url     : http://weborto.net:8080/pipermail/ortho/attachments/20130902/08a50e14/attachment-0041.jpg 
-----------   -----------
Вложение не в текстовом формате было извлечено…
Имя     : 26 SI revision final.jpg
Тип     : image/jpeg
Размер  : 34297 байтов
Описание: отсутствует
Url     : http://weborto.net:8080/pipermail/ortho/attachments/20130902/08a50e14/attachment-0042.jpg 
-----------   -----------
Вложение не в текстовом формате было извлечено…
Имя     : 27 revision final.jpg
Тип     : image/jpeg
Размер  : 30419 байтов
Описание: отсутствует
Url     : http://weborto.net:8080/pipermail/ortho/attachments/20130902/08a50e14/attachment-0043.jpg 
-----------   -----------
Вложение не в текстовом формате было извлечено…
Имя     : 29 open revision  femur.jpg
Тип     : image/jpeg
Размер  : 26493 байтов
Описание: отсутствует
Url     : http://weborto.net:8080/pipermail/ortho/attachments/20130902/08a50e14/attachment-0044.jpg 
-----------   -----------
Вложение не в текстовом формате было извлечено…
Имя     : 30 open revision femur.jpg
Тип     : image/jpeg
Размер  : 25483 байтов
Описание: отсутствует
Url     : http://weborto.net:8080/pipermail/ortho/attachments/20130902/08a50e14/attachment-0045.jpg 


Ortho