[Ortho] повторная операция при деформации стопы

Александр orthoforum на weborto.net
Чт Сен 5 19:44:28 YEKST 2013


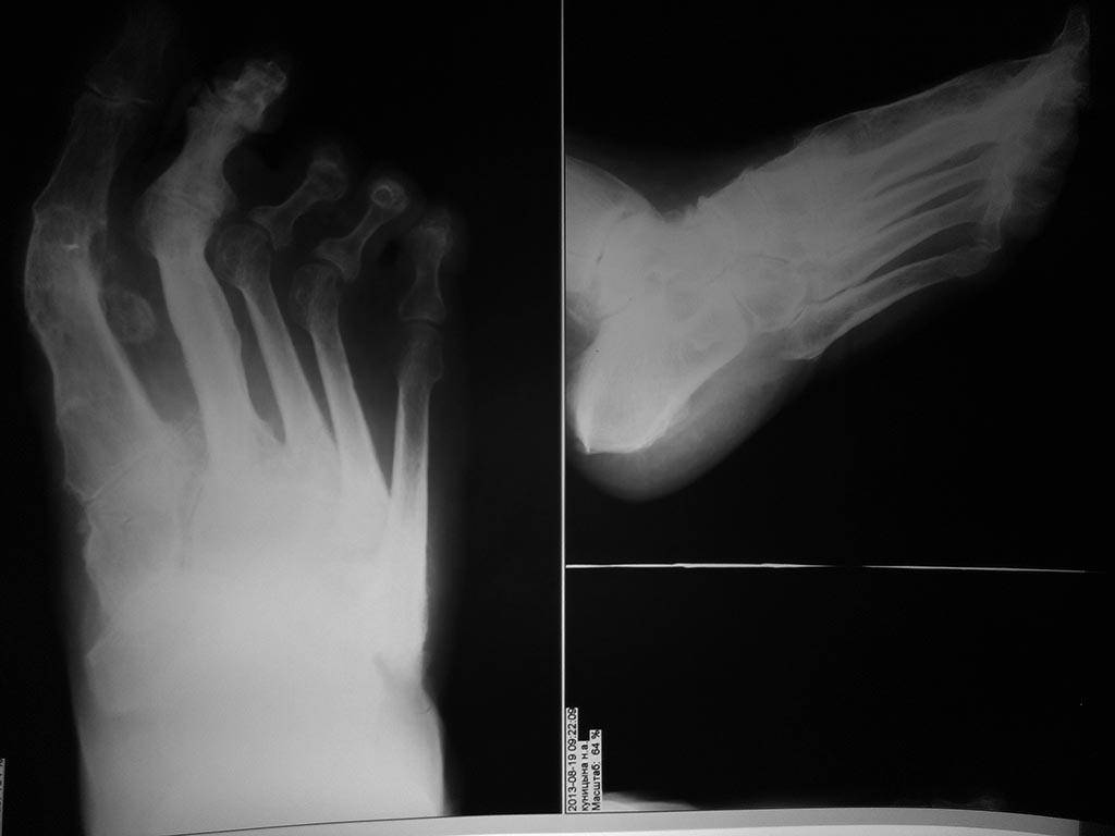
Всем здравствуйте! Проблема повторных операций на стопе
становится все актуальнее. Женщина после артродезирования 1 ПФС и 
неизвестного объема вмешательства на втором луче (но в обоих были спицы 
трансартикулярно) испытывает сильные метатарзалгии, второй палец 
ригидный и намного длиннее первого (прошу прощения за отсутствия фото in 
vivo!!!)... Какой объем операции на втором луче и других посоветовали бы 
подологи с учетом артрозов второго пальца, подвывихов 3-4 ПФС? Заранее 
спасибо!!!
Александр



----------- следущая часть -----------
Вложение не в текстовом формате было извлечено…
Имя     : IMAG0611.jpg
Тип     : image/jpeg
Размер  : 45638 байтов
Описание: отсутствует
Url     : http://weborto.net:8080/pipermail/ortho/attachments/20130905/a4dac3f7/attachment-0001.jpg 


Подробная информация о списке рассылки Ortho