[Ortho] Эндопротез Т/б сустава при ампутированном бедре

Виноградский Александр orthoforum на weborto.net
Вт Сен 10 09:21:48 YEKST 2013


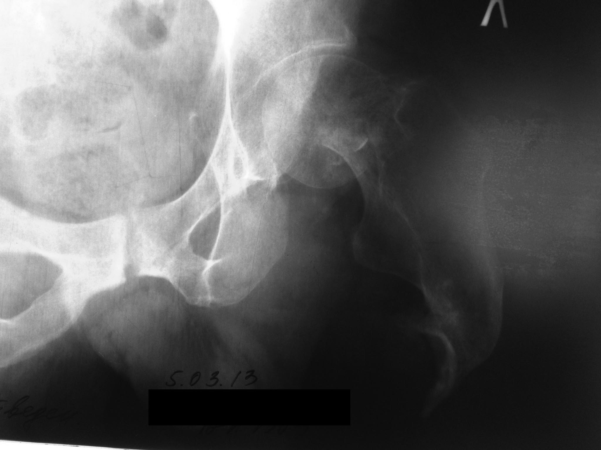
Здравствуйте, коллеги! Пациент 54 лет в середине 80х ампутация бедра во 
время боевых действий. В течении 30 лет использование экзопротеза, 
работал водителем. Три месяца назад перелом шейки бедра.

В настоящее время внешний протез не опорен из за боли. Возможно ли 
поставить эндопротез?
Какую лучше ножку? Стандартные короткие ножки ( Nanos) отпадают из- за 
пороза и короткой культи шейки. Может укоротить во время операции по 
длине культи ножку типа Corail? Насколько выше риск вывиха из- за 
непредсказуемого мышечного баланса?
Виноградский Александр

----------- следущая часть -----------
Вложение не в текстовом формате было извлечено…
Имя     : image.jpg
Тип     : image/jpeg
Размер  : 150781 байтов
Описание: отсутствует
Url     : http://weborto.net:8080/pipermail/ortho/attachments/20130910/d39cae2e/attachment-0001.jpg 


Подробная информация о списке рассылки Ortho