[Ortho] .

888 orthoforum weborto.net
12 10:46:10 YEKST 2013


Уважаемые коллеги. Помогите определиться с тактикой лечения.	
		
Пациент 1993г.р (20 лет), поступил жалобами :на боли в области левого 
тазобедренного сустава, нарушение опорной функции левой нижней 
конечности.Anamnesis morbi: Со слов пациента и медицинской документации 
15.08.2013г упал на область левого тазобедренного сустава. По скорой 
помощи госпитализирован в одну из клиник Астаны, где произведена 
рентгенография левого тазобедренного сустава, на которой выявлено 
образование проксимального отдела левой бедренной кости. Для выбора 
тактики дальнейшего лечение пациента, консультирован остеоонкологом, 
рекомендовано оперативное лечение в плановом порядке в условиях 
профильного отделения остеоонкологии АО «РНЦ НМП».Об-но: по внутренним 
органам без особенностей.Status localis: При осмотре пациент на кровати 
лежа на спине. Левая нижняя конечность без иммобилизации, ротирована 
наружу, в области левого тазобедренного сустава отмечается 
незначительный отек. Осевая нагрузка на левую нижнюю конечность 
болезненна. При пальпации отмечается резкая боль в области левого 
тазобедренного сустава. Симптом «прилипшей пятки» отрицательный с обеих 
сторон. Относительная длина обеих нижних конечностей одинаковая.
На периферии конечностей нейроциркуляторных нарушений нет.
На представленной R-грамме левого тазобедренного сустава–выявляется 
деструктивная полость в вертельной области левой бедренной кости 
нарушение костной структуры с образованием костной полости с 
тонкостенными перегородками.Границы полости крупно ячеистые.
Госпитализирован с предварительным диагнозом: Остеобластокластома 
вертельной области левой бедренной кости. Закрытый патологический 
чрезвертельный перелом левой бедренной кости?
04.09.13г 1-м этапом произведена: Операционная биопсия из проксимального 
отдела левой бедренной кости. Заключение патолого - гистологического 
исследования: Патоморфологическая картина может соответствовать костной 
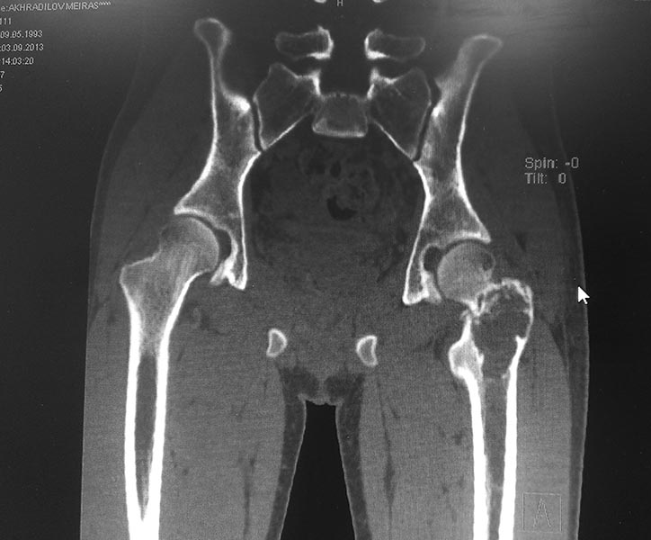
кисте. Пациенту произведено КТ обеих тазобедренных суставов.
Заключение: КТ - признаки объемного образования области шейки и большого 
вертела левой бедренной кости дифференцировать с фиброзной дисплазией. 
Сростающийся патологический чрезвертельный перелом левой бедренной кости.
ОАК, ОАМ, коагулограмма в пределах нормы.

Пациент был вынесен на клиническое обсуждение, на котором было 
предложено 3 варианта оперативного лечения:

1) Экскохлеация кисты. Пластика дефекта аутотрансплантатом из крыла 
подвздошной кости. Интамедулярный остеосинтез блокирующем стержнем и 
винтами.

2)Экскохлеация кисты. Пластика дефекта аутотрансплантатом из крыла 
подвздошной кости. Остиосинтез пластиной DCS или DHS.

3) Резекция проксимального отдела левой бедренной бедренной кости. 
Тотальное цементное эндопротезирование левого тазобедренного сустава 
модульным имплантом GMRS. (Учитывая молодой возраст пациента данный 
оперативное вмешательство рассматривается в последнюю очередь).Хотелось 
бы услышать Ваше мнение по тактике и методам оперативного лечения.


-----------   -----------
Вложение не в текстовом формате было извлечено…
Имя     : 1.jpg
Тип     : image/jpeg
Размер  : 39947 байтов
Описание: отсутствует
Url     : http://weborto.net:8080/pipermail/ortho/attachments/20130912/460bc6be/attachment-0003.jpg 
-----------   -----------
Вложение не в текстовом формате было извлечено…
Имя     : 2.jpg
Тип     : image/jpeg
Размер  : 101704 байтов
Описание: отсутствует
Url     : http://weborto.net:8080/pipermail/ortho/attachments/20130912/460bc6be/attachment-0004.jpg 
-----------   -----------
Вложение не в текстовом формате было извлечено…
Имя     : 3.jpg
Тип     : image/jpeg
Размер  : 68125 байтов
Описание: отсутствует
Url     : http://weborto.net:8080/pipermail/ortho/attachments/20130912/460bc6be/attachment-0005.jpg 


Ortho