[Ortho] .

. orthoforum weborto.net
17 19:47:37 YEKST 2013


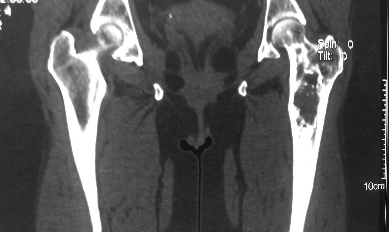
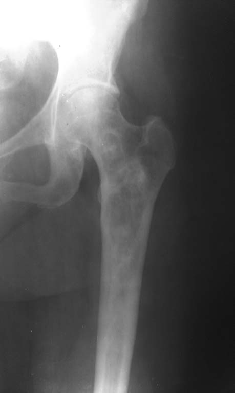
Пациентка 1952 г.р.  (61 лет), поступила жалобами: на непостоянные боли 
в области левого тазобедренного сустава, верхней трети бедра и суставов 
конечностей.

Anamnesis morbi: Со слов пациентки болеет в течении 2,5лет, когда 
появились боли в бедре и крупных суставах. Об-но: по внутренним органам 
без особенностей. Пальпаторно отмечается болезненность в проекции 
верхней–  средней трети левой бедренной кости.
04.09.13г 1-м этапом произведена: Операционная биопсия из проксимального 
отдела левой бедренной кости. Заключение патолого - гистологического 
исследования: Дегенеративное поражение костной ткани с замещением 
незрелой фиброзной тканью. В анализах в пределах нормы.
Планируем:
   Резекцию проксимального отдела левой бедренной кости. Тотальное 
цементное эндопротезирование левого тазобедренного сустава модульным 
имплантом.
Хотелось бы услышать Ваше мнение по тактике и методам оперативного лечения.

Ерсин У.

-----------   -----------
Вложение не в текстовом формате было извлечено…
Имя     : 1.jpg
Тип     : image/jpeg
Размер  : 27435 байтов
Описание: отсутствует
Url     : http://weborto.net:8080/pipermail/ortho/attachments/20130917/f0f9e7da/attachment-0003.jpg 
-----------   -----------
Вложение не в текстовом формате было извлечено…
Имя     : 2.jpg
Тип     : image/jpeg
Размер  : 49754 байтов
Описание: отсутствует
Url     : http://weborto.net:8080/pipermail/ortho/attachments/20130917/f0f9e7da/attachment-0004.jpg 
-----------   -----------
Вложение не в текстовом формате было извлечено…
Имя     : 3.jpg
Тип     : image/jpeg
Размер  : 73724 байтов
Описание: отсутствует
Url     : http://weborto.net:8080/pipermail/ortho/attachments/20130917/f0f9e7da/attachment-0005.jpg 


Ortho