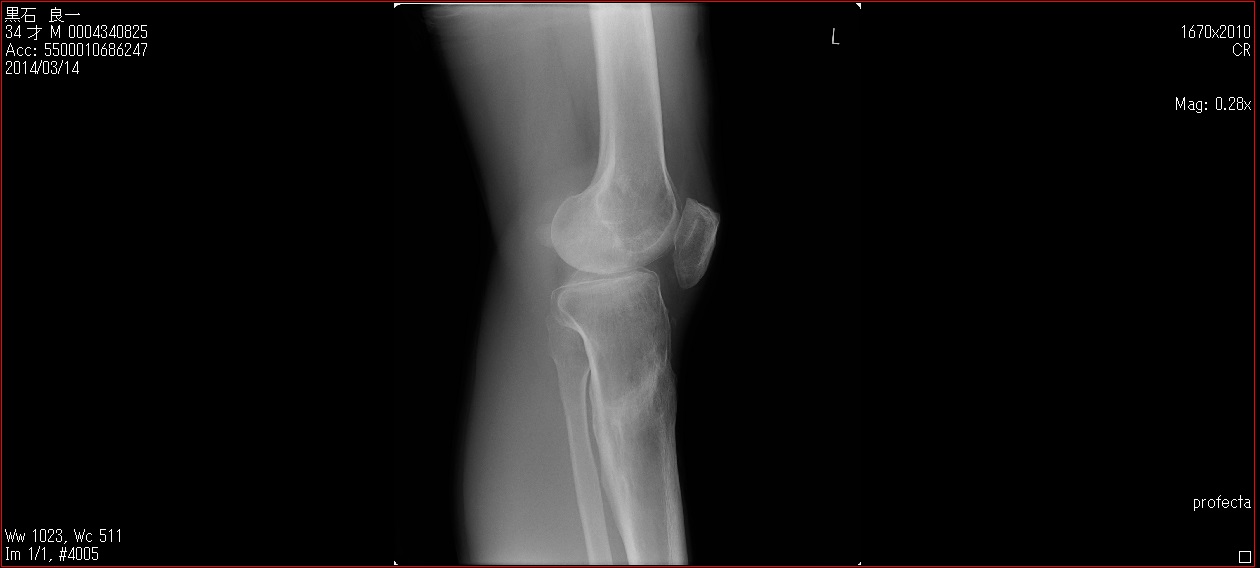
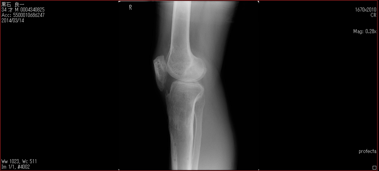
[Ortho] patella baja

Arshak Mirzoyan mirzoyanarshak3 gmail.com
8 16:47:00 YEKST 2014


Друзья - коллеги,

 

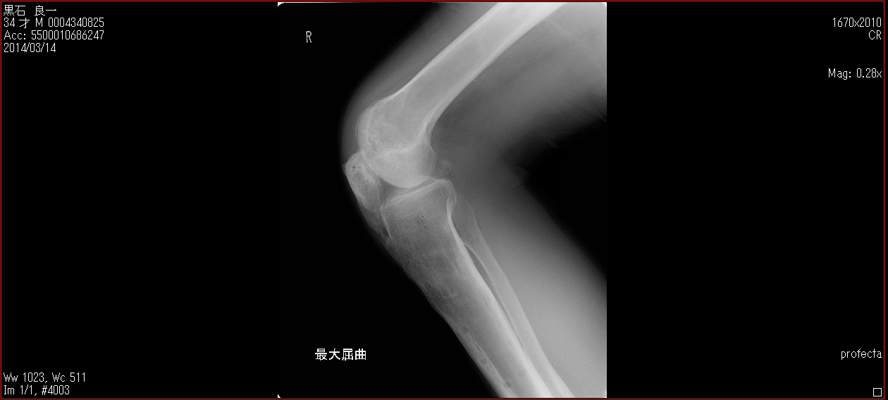
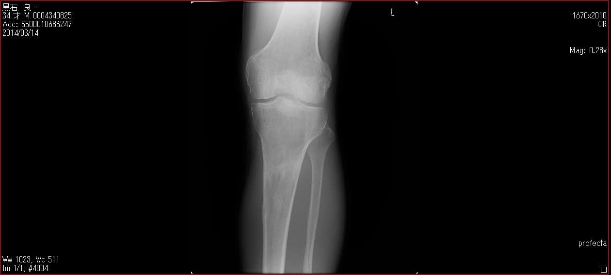
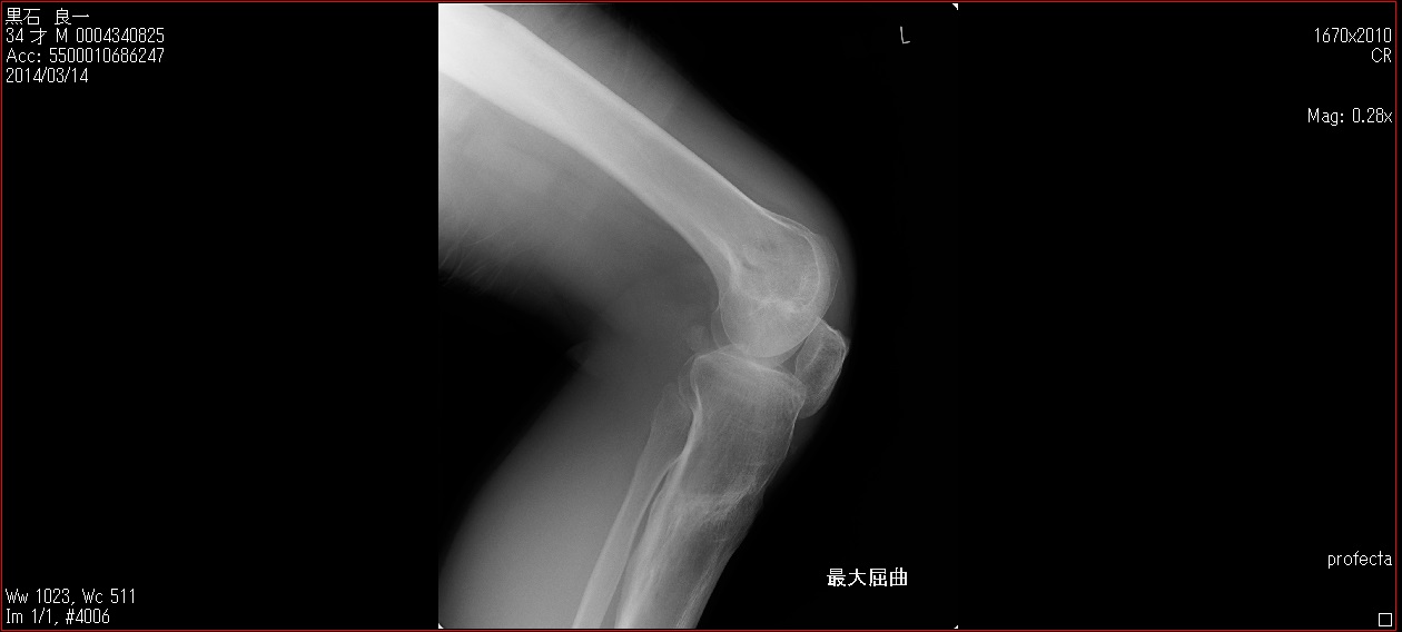
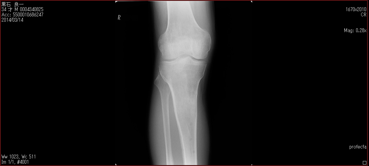
Пациент 27 лет приехал для удлинения роста по эстетическим показаниям. Метод: крослатеральное двухэтапное удлинение голеней 4см и бедер 3 см.  Между этапами удлинения уезжал к себе домой в Японию на реабилитацию. Между этапами удлинения движения в коленных суставах разгибание полное сгибание 90-85. После выписки (февраль 2012) даны соответствующие указание постепенно возрастающей нагрузки и ЛФК коленных суставов. 

 

В настоящий момент жалобы на ограничение сгибания в коленных суставах. Снимки прилагаются. 

 

Вопрос: почему возникло такое осложнение? Поверьте приходилось удлинять намного больше, а тут всего на 3-4 см и такое осложнение на обеих конечностях у одного пациента? 

 

Что можно сделать? У кого есть опыт лечения patella baja? 

 

Буду очень благодарен за совет-помощь. 

 

Аршак Мирзоян

 

Best regards,

Arshak E. Mirzoyan  MD, PhD, DMS

 

Yerevan Center of Limb Lengthening and Reconstruction

21 Paronian St.,

Yerevan, 0015 Armenia

Tel.: (+374 10) 537 783

Fax: (+374 10) 536 622

 <http://www.ycllr.org> www.ycllr.org

 <http://www.leglengthening.am> www.leglengthening.am

 

 

 

 

-----------   -----------
Вложение в формате HTML было извлечено&hellip;
URL: http://weborto.net:8080/pipermail/ortho/attachments/20140408/d9d8a4bb/attachment-0001.htm 
-----------   -----------
Вложение не в текстовом формате было извлечено&hellip;
Имя     : L(1).JPG
Тип     : image/jpeg
Размер  : 65812 байтов
Описание: отсутствует
Url     : http://weborto.net:8080/pipermail/ortho/attachments/20140408/d9d8a4bb/attachment-0006.jpeg 
-----------   -----------
Вложение не в текстовом формате было извлечено&hellip;
Имя     : L(2).JPG
Тип     : image/jpeg
Размер  : 69433 байтов
Описание: отсутствует
Url     : http://weborto.net:8080/pipermail/ortho/attachments/20140408/d9d8a4bb/attachment-0007.jpeg 
-----------   -----------
Вложение не в текстовом формате было извлечено&hellip;
Имя     : L(3).JPG
Тип     : image/jpeg
Размер  : 77297 байтов
Описание: отсутствует
Url     : http://weborto.net:8080/pipermail/ortho/attachments/20140408/d9d8a4bb/attachment-0008.jpeg 
-----------   -----------
Вложение не в текстовом формате было извлечено&hellip;
Имя     : R(1).JPG
Тип     : image/jpeg
Размер  : 66408 байтов
Описание: отсутствует
Url     : http://weborto.net:8080/pipermail/ortho/attachments/20140408/d9d8a4bb/attachment-0009.jpeg 
-----------   -----------
Вложение не в текстовом формате было извлечено&hellip;
Имя     : R(2).JPG
Тип     : image/jpeg
Размер  : 69397 байтов
Описание: отсутствует
Url     : http://weborto.net:8080/pipermail/ortho/attachments/20140408/d9d8a4bb/attachment-0010.jpeg 
-----------   -----------
Вложение не в текстовом формате было извлечено&hellip;
Имя     : R(3).JPG
Тип     : image/jpeg
Размер  : 78622 байтов
Описание: отсутствует
Url     : http://weborto.net:8080/pipermail/ortho/attachments/20140408/d9d8a4bb/attachment-0011.jpeg 


Ortho