[Ortho] Ложный сустав большеберцовой кости

Абдурашид orthoforum на weborto.net
Чт Апр 10 23:34:17 YEKST 2014


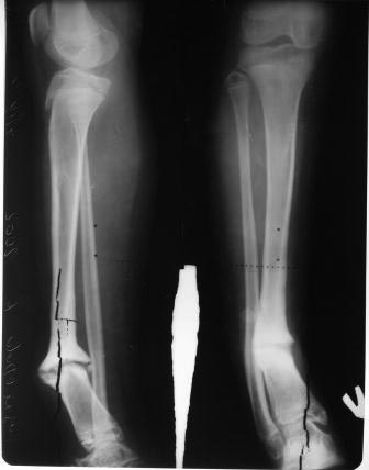
          Коллеги, обратилась пациентка 12 лет, со слов матери 5 лет 
назад  заболела острым гематогенным остеомиелитом, 4 раза оперирована в 
обл. детской больнице, после образовался ложный сустав,  в центре 
произведена  костная аутопластика, нагноение, после отторжения аутокости 
рана зажила и рецидив псевдоартроза 2 года назад(все это со слов 
матери). Клинически тугой ложный сустав н/з голени, 
деформация,укорочение 2см, девочка ходит самостоятельно,прихрамывает.
   Пока определенного мнения нет, повторно открывать не хочется, какие 
будут мнения по поводу БИОС- после остеотомии м/б кости и аппаратной 
коррекции деформации или сначала профилактически спейсер с антибиотиком 
? и продолжать ЧКДО?
             Прилагается  Р-граммы, обещают принести и предыдущих 
Р-грамм.( пациентка из другой обл.)
    С уважением Абдурашид.


----------- следущая часть -----------
Вложение не в текстовом формате было извлечено…
Имя     : 20140407_155142.jpg
Тип     : image/jpeg
Размер  : 38132 байтов
Описание: отсутствует
Url     : http://weborto.net:8080/pipermail/ortho/attachments/20140410/fd901a34/attachment-0001.jpg 


Подробная информация о списке рассылки Ortho