[Ortho] Застарелое повреждение ВМП, дефект головки плеча

Осипов Алексей orthoforum на weborto.net
Вт Апр 15 02:24:51 YEKST 2014


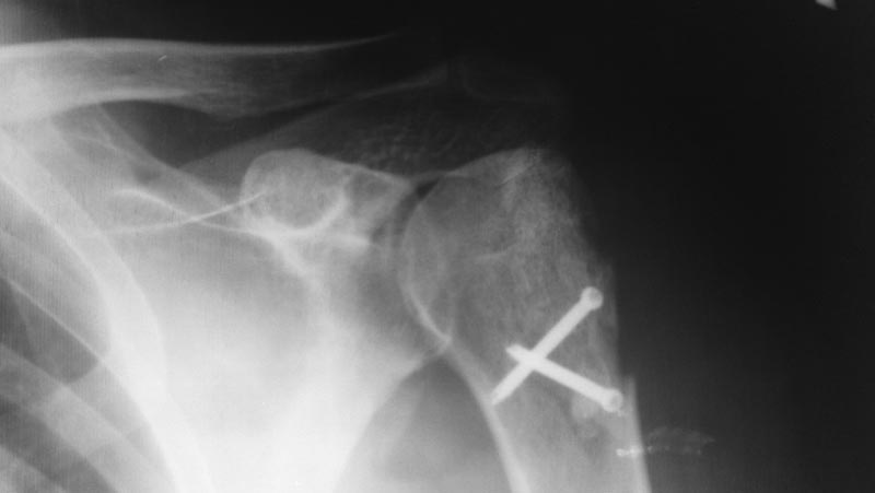
Пациент 45 лет, мужчина (парашютист). История болезни: травма вывих 
плеча с оскольчатым
переломом большого бугорка левого плеча май 2013. Закрытое вправление 
вывиха. Через 2
недели операция - открытая репозиция отломков с удалением костных 
фрагментов остеосинтез
2-мя кортикальными винтами. При реабилитации выраженное ограничение функции,
консервативное лечение без эффекта. В ноябре 2013 в Киеве артроскопическая
субакромиальная декомпрессия. После операции сохраняется контрактура 
плечевого
сустава. При осмотре рубец по дельтовидно-грудной борозде. Гипотрофия 
дельтовидной.
надостной и подостной мышц. Движения ограничены: сгибание до 50, 
отведение 45 (пассивные).
наружная ротация 5. внутренняя 10. Активные в основном за счет лопатки. 
Дистальных
моторных, сенсорных и циркуляторных расстройств нет. На рентгенограммах 
и СКТ дефект
задне-наружного части проксимального отдела плеча, выраженное сужение 
субакромиального
пространства, дислокация плеча краниально. Вопросы: 1. Реверсивный 
эндопротез? 2.
Открытый артролиз плечевого сустава, ревизия субакромиального 
пространства, выделение
наружных ротаторов и их рефикс
Осипов Алексей

----------- следущая часть -----------
Вложение не в текстовом формате было извлечено…
Имя     : IMG_20140403_100342 (800x451).jpg
Тип     : image/jpeg
Размер  : 39617 байтов
Описание: отсутствует
Url     : http://weborto.net:8080/pipermail/ortho/attachments/20140415/4403891b/attachment-0001.jpg 


Подробная информация о списке рассылки Ortho