[Ortho] Кальцинирующий тендинит

Куликов Иван orthoforum на weborto.net
Ср Авг 20 20:16:45 YEKST 2014


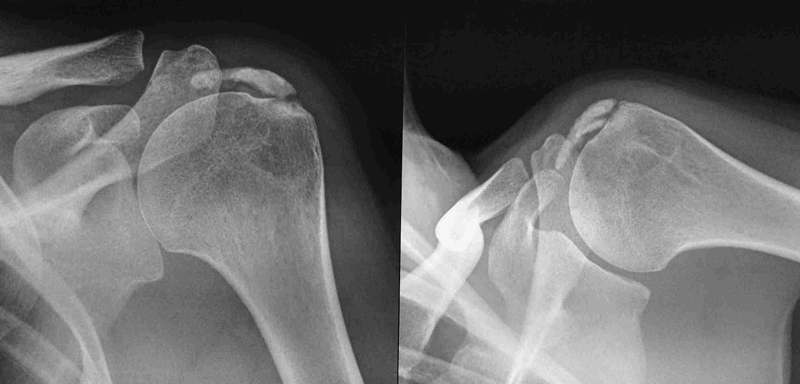
Здравствуйте уважаемые коллеги. вот возник вопрос. больная Е 36 лет 
кальцинирующий тендинит с обеих сторон (на рентгенограммах одна 
сторона). плотность по КТ 1400. несмотря на это перед тем как идти на 
артроскопическое удаление депозита произведена попытка размыть 
физраствором. вот что и получилось. объем движений в суставе полностью 
восстановлен " на столе" через место депозита 2000мл раствора. 
клинический результат понравился. и вот вопрос будет ли дальше нравиться 
клинический результат, в смысле какова вероятность
рецидива при данной технологии. ведь остатки депозита в ротаторной 
манжете. нигде не нашел результатов после артроскопии, там тоже остаются 
какие-то элементы кальцинатов манжеты?
PS пациентка полностью обследована системной патологии не выявлено.

Куликов Иван
Симферополь


----------- следущая часть -----------
Вложение не в текстовом формате было извлечено…
Имя     : 0.JPG
Тип     : image/jpeg
Размер  : 103517 байтов
Описание: отсутствует
Url     : http://weborto.net:8080/pipermail/ortho/attachments/20140820/f8dff6a9/attachment-0002.jpeg 
----------- следущая часть -----------
Вложение не в текстовом формате было извлечено…
Имя     : 1.JPG
Тип     : image/jpeg
Размер  : 106363 байтов
Описание: отсутствует
Url     : http://weborto.net:8080/pipermail/ortho/attachments/20140820/f8dff6a9/attachment-0003.jpeg 


Подробная информация о списке рассылки Ortho