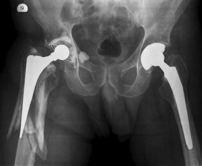
[Ortho] Перипротезный перелом

Михаил Куква orthoforum на weborto.net
Пт Авг 22 21:02:07 YEKST 2014


Снимки.


Михаил Куква

----------- следущая часть -----------
Вложение не в текстовом формате было извлечено…
Имя     : 1.jpg
Тип     : image/jpeg
Размер  : 47138 байтов
Описание: отсутствует
Url     : http://weborto.net:8080/pipermail/ortho/attachments/20140822/2b149540/attachment-0002.jpg 
----------- следущая часть -----------
Вложение не в текстовом формате было извлечено…
Имя     : 2.jpg
Тип     : image/jpeg
Размер  : 52351 байтов
Описание: отсутствует
Url     : http://weborto.net:8080/pipermail/ortho/attachments/20140822/2b149540/attachment-0003.jpg 


Подробная информация о списке рассылки Ortho