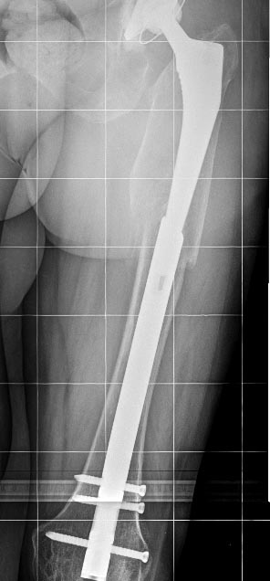
[Ortho] Перипротезный перелом

Alexander Chelnokov orthoforum на weborto.net
Пт Авг 22 21:29:23 YEKST 2014


Искусно сделанная сложная операция, молодцы. Но можно было сделать иначе 
- закрыто, быстро и надежно...
Alexander Chelnokov


----------- следущая часть -----------
Вложение не в текстовом формате было извлечено…
Имя     : Bedrennaya Lat.jpg
Тип     : image/jpeg
Размер  : 38302 байтов
Описание: отсутствует
Url     : http://weborto.net:8080/pipermail/ortho/attachments/20140822/dd8487f9/attachment-0001.jpg 


Подробная информация о списке рассылки Ortho