[Ortho] Кокса вара

432 orthoforum на weborto.net
Ср Дек 17 20:31:12 YEKT 2014


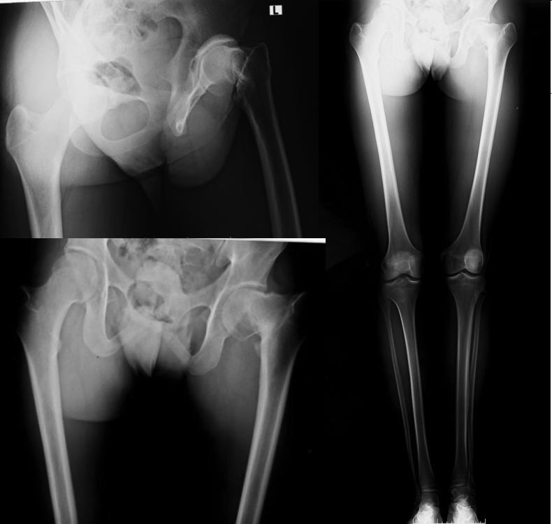
Пациент 18 лет травма в 13 летнем возрасте, остеоэпифезиолиз шейки 
бедра, лечится консервативно сейчас. Переелом сросся, беспокоят 
периодически не очень интенсивые боли при нагрузках. Беспокоит 
укорочение - 4 см, Что делать протез? Остеотомия (какая?) удлинить
голень? Корректно ли поставить диагноз постравматическая koxa vara?
432


----------- следущая часть -----------
Вложение не в текстовом формате было извлечено…
Имя     : r.jpg
Тип     : image/jpeg
Размер  : 59582 байтов
Описание: отсутствует
Url     : http://weborto.net:8080/pipermail/ortho/attachments/20141217/f370fe03/attachment-0001.jpg 


Подробная информация о списке рассылки Ortho