[Ortho] Волшебный синтез. Что делать?

Bulat Ziatdinov orthoforum на weborto.net
Пт Дек 26 19:50:04 YEKT 2014


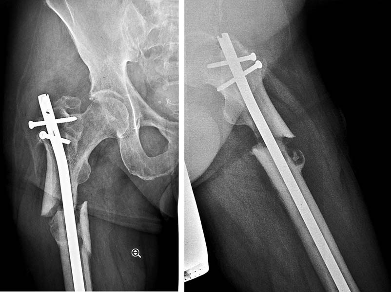
Уважаемые коллеги! Хотелось бы узнать Ваше мнение. Обратился наш с вами 
коллега. Травма получена примерно 10 месяцев назад, экстренно оперирован 
в городской клинике. Теперь результат. Ходит с костылями из-за болевого 
синдрома. Функция соответственно страдает.
Какую ревизионную тактику выбрать? Реконструктивный гвоздь (сам к этому 
склоняюсь) или накостный синтез?Спасибо! И с наступающими!)

Bulat Ziatdinov



----------- следущая часть -----------
Вложение не в текстовом формате было извлечено…
Имя     : ВЕДТП.jpg
Тип     : image/jpeg
Размер  : 78496 байтов
Описание: отсутствует
Url     : http://weborto.net:8080/pipermail/ortho/attachments/20141226/e57f7c20/attachment-0001.jpg 


Подробная информация о списке рассылки Ortho