[Ortho] Хронический остеомиелит плюсневых костей

Виктор orthoforum на weborto.net
Вс Фев 9 19:07:59 YEKT 2014



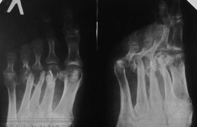
Больной 45 лет, мужчина. Оперирован спицами в мае 2013 года в 
Таджикистане по поводу открытых переломов 2-4 плюсневых костей. Спицы 
были удалены со слов больного через 2 недели, после чего он был выписан 
на амб. долечивание, приступил к дозированной нагрузке. В сентябре 2013
года открылся свищевой ход на тыле стопы в 3-м межплюсневом промежутке. 
Больной лечился самостоятельно различными антибиотиками. Рассматривается 
секвестрнекрэктомия головок и части диафизов 2-4 плюсневых костей, 
проточно-промывное дренирование+спейсер с
ванкомицином (или без спейсера), а затем в холодном периоде костная 
аутопластика. Возможно после секвестрнекрэктомии появится избыточная 
подвижность 2-4 пальцев, чем и как посоветуете фиксировать??
Виктор


----------- следущая часть -----------
Вложение не в текстовом формате было извлечено…
Имя     : IMG_0463.JPG
Тип     : image/jpeg
Размер  : 39836 байтов
Описание: отсутствует
Url     : http://weborto.net:8080/pipermail/ortho/attachments/20140209/2b8f363a/attachment-0002.jpeg 
----------- следущая часть -----------
Вложение не в текстовом формате было извлечено…
Имя     : IMG_0464.JPG
Тип     : image/jpeg
Размер  : 49878 байтов
Описание: отсутствует
Url     : http://weborto.net:8080/pipermail/ortho/attachments/20140209/2b8f363a/attachment-0003.jpeg 


Подробная информация о списке рассылки Ortho