[Ortho] Разрыв акромиально-ключичного сочленения. Тактика?

Ольга orthoforum на weborto.net
Чт Фев 27 00:59:47 YEKT 2014


Есть ли показания для оперативного вмешательства у женщины с застарелым 
разрывом АКС?

Женщина обратилась с жалобами на боль в области плечевого сустава на 
протяжении 4,5 месяцев
после травмы. Боль беспокоит при подъеме руки от 45 град до 90. Также 
беспокоит онемение 3- 4
пальца кисти, периодически возникающий отек кисти. В сентябре после 
травмы диагностирован
разрыв АКС слева Tossy 1, была наложена повязка Дезо. Затем периодически 
получала разные
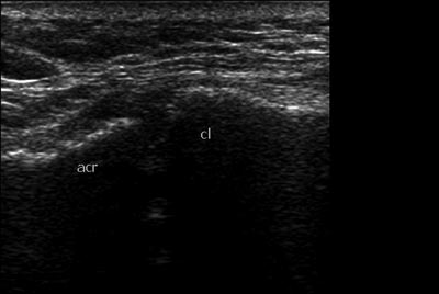
виды физиотерапии, мази без эффекта. Был проведен повторный Rg. На УЗИ я 
выявила расширение
АКС до 15 мм, (на здоровой стороне суставная щель до 5 мм), содержимое 
неоднородное, имеется
неровность дистального конца ключицы. Признаки разрыва 
акромиально-ключичной связки.
Целостность сухожилий ротаторной манжетки сохранена. Выпота в сумках 
нет. Описание
Рентгенолога: 1ый снимок октябрьский , второй справа -середина февраля 
(недавно). 1 ый
снимок сделан с грузом - второй - без груза. На рентгенограмме левой 
плечевой кости с плечевым
суставом с центрацией на левый АКС от февраля года в сравнении с 
рентгенограммой от октября
отмечается разрыв КАС первой степени по Tossy, в динамике расстояние 
левого КАС с 0,7 мм и
ступенеобразной деформацией увеличилась до 1,1 см (я не опечаталась - 
такова размерность в
заключении) с признаками лизирования эпифиза левой ключицы, реакция 
мягкотканного
компонента отсутствует. Подскажите, пожалуйста, какая же здесь степень 
разрыва по Tossy?
Необходимо ли оперативное вмешательство, по поводу данного разрыва? 
Считаете ли Вы, что
есть разрыв связки? Какова дальнейшая тактика ведения пациентки.
Ольга

----------- следущая часть -----------
Вложение не в текстовом формате было извлечено…
Имя     : AKS _Rg.jpg
Тип     : image/jpeg
Размер  : 55591 байтов
Описание: отсутствует
Url     : http://weborto.net:8080/pipermail/ortho/attachments/20140227/9cd81d1d/attachment-0003.jpg 
----------- следущая часть -----------
Вложение не в текстовом формате было извлечено…
Имя     : AKS_1 copy.jpg
Тип     : image/jpeg
Размер  : 36379 байтов
Описание: отсутствует
Url     : http://weborto.net:8080/pipermail/ortho/attachments/20140227/9cd81d1d/attachment-0004.jpg 
----------- следущая часть -----------
Вложение не в текстовом формате было извлечено…
Имя     : AKS_неповрежденныи?.jpg
Тип     : image/jpeg
Размер  : 33107 байтов
Описание: отсутствует
Url     : http://weborto.net:8080/pipermail/ortho/attachments/20140227/9cd81d1d/attachment-0005.jpg 


Подробная информация о списке рассылки Ortho